Ασθενής άδρας 80 ετών με αυχεναλγία και βραχιαλγία άμφω (δε>αρ). Έναρξη και προοδευτική επιδείνωση της βάδισης
Ο απεικονιστικός έλεγχος έλεγχος με μαγνητική και αξονική τομογραφία της αυχενικής μοίρας της σπονδυλικής στήλης ανέδειξε εκτεταμένη εκφύλιση της σπονδυλικής στήλης με πίεση τόσο από την πρόσθια όσο και από την οπίσθια επιφάνεια του νωτιαίου μυελού.
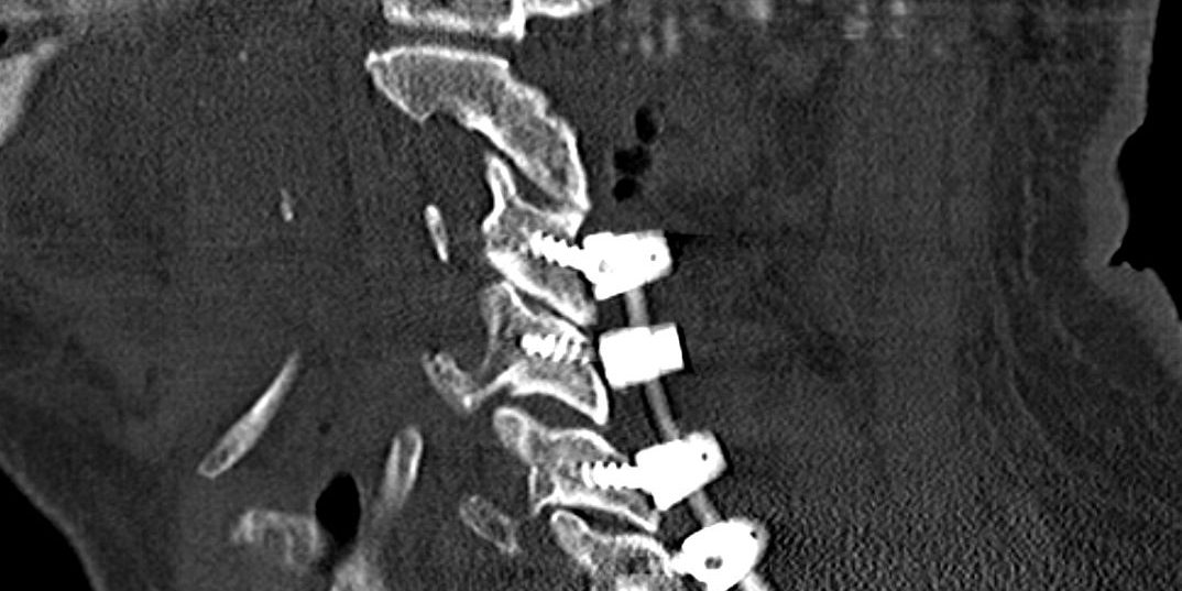
Διενεργήθη πεταλεκτομία και σπονδυλοδεσία Α3 έως Α7 σπονδύλου.
Ο ασθενής παρουσίασε σημαντική βελτίωση της συμπτωματολογίας του. Εξήλθε του νοσοκομείου την 7η μετεγχειρητική ημέρα.
Σχόλιο του χειρουργού:
Εδώ επιλέξαμε την οπίσθια αποσυμπίεση για πολλούς λόγους: Πρώτον, υπάρχει σε πολλαπλά επίπεδα υπερτροφία των ωχρών συνδέσμων η οποία ασκεί πίεση στην οπίσθια επιφάνεια του νωτιαίου μυελού. Δεύτερον, υπάρχει σημαντική επασβέστωση του οπ. επιμήκους συνδέσμου, που σημαίνει ότι η πρόσθιες δισκεκτομές ίσως να μην καταφέρουν την πλήρη απελευθέρωση του νωτιαίου μυελού. Τρίτον, η λόρδωση της αυχενικής μοίρας είναι ικανοποιητική, γεγονός που μας επιτρέπει να αποσυμπιέσουμε με πεταλεκτομία. Παρόλα αυτά, λόγω των έντονων οστεοαρθριτικών αλλοιώσεων, επιλέξαμε επιπλέον να σταθεροποιήσουμε την αυχενική μοίρα του ασθενούς έτσι ώστε να αποφύγουμε τον πόνο από «αστάθεια» της σπονδυλικής στήλης και μια ενδεχόμενη μελλοντική παραμόρφωση της αυχενικής μοίρας.
Εδώ η αποσυμπίεση και η σπονδυλοδεσία έγιναν σε ένα χρόνο, δηλαδή στο ίδιο χειρουργείο. Μια εναλλακτική θα ήταν η αποσυμπίεση μόνο, χωρίς σπονδυλοδεσία και ενδεχόμενη σπονδυλοδεσία σε 2ο χρόνο, αν προέκυπτε ανάγκη. Και η επιλεγχθείσα στρατηγική αλλά και η εναλλακτική που μόλις προανέφερα έχουν πλεονεκτήματα και μειονεκτήματα. Η επιλογή της καταλληλότερης στρατηγικής/μεθόδου επιλέγεται -όπως εδώ- μετά από συζήτηση με τον ασθενή.










