Ασθενής άνδρας, 44 ετών με διαταραχές προσωπικότητας, κεφαλαλγίες και ανοσμία. Επείγουσα εισαγωγή λόγω απώλειας όρασης και βυθιότητας.
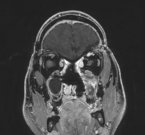
Η αξονική και μαγνητική τομογραφία εγκεφάλου ανέδειξε γιγαντιαία εξεργασία στον πρόσθιο κρανιακό βόθρο με σημαντική επέκταση εντός της ρινικής κοιλότητας και διήθηση των οφθαλμικών κόγχων, κυρίως αριστερά.
Ο ασθενής υπεβλήθη σε αμφιμετωπιαία κρανιοτομία καθώς επίσης και σε ενδοσκοπική διαρρινική αφαίρεση της βλάβης. Η ιστολογική εξέταση ανέδειξε αισθησιονευροβλάστωμα.
Μετεγχειρητικά σαφής βελτίωση της όρασης και των λοιπών συμπτωμάτων.

Εικόνα 1: Προεγχειρητική μαγνητική τομογραφία αναδεικνύει εκτεταμένη χωροκατακτητική εξεργασία, πιθανό αισθησιονευροβλάστωμα, με επέκταση εντός της ρινικής κοιλότητας και διήθηση των οφθαλμικών κόγχων.

Εικόνα 2: Διεγχειρητική φωτογραφία. Προσέξτε το φώς του ενδοσκοπίου το οποίο μπορεί να παρατηρηθεί από την πλευρά της κρανιοτομίας.

Εικόνα 3: Μετεγχειρητική απεικόνιση η οποία αναδεικνύει την αφαίρεση του όγκου (Προσωπικό αρχείο νευροχειρουργού Π. Σταυρινού).
Σχόλιο του χειρουργού:
Ο συγκεκριμένος όγκος είναι εξαιρετικά εκτεταμένος και αποτελεί σε κάθε περίπτωση μια χειρουργική πρόκληση. Ο συνδυασμός κρανιοτομίας και ενδοσκοπικής διαρρινικής προσπέλασης επέτρεψε την αφαίρεση της βλάβης. Σε περιπτώσεις σαν και αυτή, το έλλειμα στη βάση του κρανίου μετά την αφαίρεση του όγκου είναι ιδιαίτερα εκτεταμένο και πρέπει να υπάρχει σαφές σχέδιο αποκατάστασης της βάσης του κρανίου με συνδυασμό αυτόλογων και ετερόλογων μοσχευμάτων.






