Σηραγγώδη Αγγειώματα (Καβερνώματα): Αιτιολογία
Στις περισσότερες περιπτώσεις, δεν υπάρχει σαφής αιτιολογία. Σε μερικές περιπτώσεις υπάρχει κληρονομική προδιάθεση (περίπου στο 20%), αλλά τα περισσότερα σηραγγώδη αγγειώματα εμφανίζονται σποραδικά, δηλ. δεν υπάρχει κάποια κληρονομική προδιάθεση.
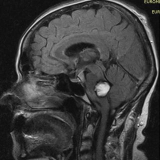
Σηραγγώδη Αγγειώματα (Καβερνώματα): Συμπτώματα
Τα περισσότερα σηραγγώδη αγγειώματα δεν προκαλούν συμπτώματα, αλλά όταν είναι συμπτωματικά τότε συνήθως παρουσιάζονται:
- Επιληπτικές κρίσεις
- Κεφαλαλγία (πονοκέφαλος)
- νευρολογικά προβλήματα, όπως ζαλάδα, διαταραχές ομιλίας (δυσαρθρία), διπλωπία, προβλήματα ισορροπίας και τρόμος
- Αδυναμία, μούδιασμα, κόπωση, προβλήματα μνήμης και δυσκολία συγκέντρωσης
Η σοβαρότητα και η διάρκεια των συμπτωμάτων μπορεί να ποικίλει ανάλογα με τον τύπο του αγγειώματος και την τοποθεσία του.
Προβλήματα μπορεί να προκύψουν εάν ένα σηραγγώδες αγγείωμα αιμορραγήσει. Αυτό συμβαίνει επειδή τα κύτταρα που δημιουργούν τα αγγεία του σηραγγώδους αγγειώματος είναι συχνά πιο λεπτά από εκείνα των κανονικών αιμοφόρων αγγείων, πράγμα που σημαίνει ότι είναι επιρρεπή σε διαρροή αίματος.
Στις περισσότερες περιπτώσεις, η αιμορραγία είναι περιορισμένη αλλά μπορεί να συμβούν και σοβαρές αιμορραγίες οι οποίες μπορεί να προκαλέσουν σοβαρά προβλήματα ή και να είναι απειλητικές για τη ζωή του ασθενούς.
Υπάρχει κίνδυνος αιμορραγίας;
Ο κίνδυνος αιμορραγίας ποικίλλει από άτομο σε άτομο, ανάλογα με το καβέρνωμα έχει αιμορραγήσει νωρίτερα ή όχι.
Εάν δεν έχει αιμορραγήσει (μή ραγέν) τότε ο κίνδυνος αιμορραγίας είναι λιγότερο από 1% κάθε χρόνο.
Εάν το καβέρνωμα έχει ήδη αιμορραγήσει τότε ο κίνδυνος να ξανααιμορραγήσει είναι κάπου μεταξύ 4% και 25% κάθε χρόνο.