Ασθενής γυναίκα, 70 ετών παρουσίασε επιληπτικές κρίσεις και αριστερή ημιανοψία.
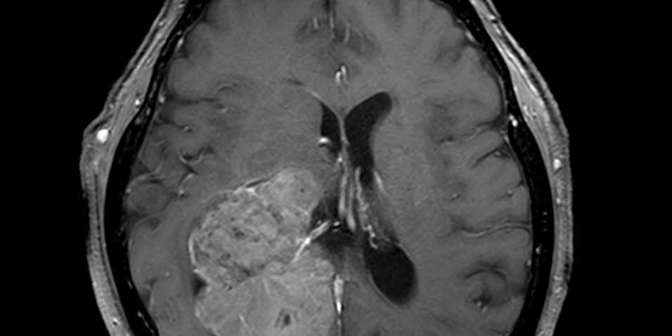
Η μαγνητική τομογραφία ανέδειξε ευμεγέθη χωροκατακτητική εξεργασία εντός της δεξιάς πλάγιας κοιλίας του εγκεφάλου.
Διενεργήθη διαφλοιική προσπέλαση με τη βοήθεια νευροπλοήγησης και ολική (Simpson I) εξαίρεση της βλάβης.
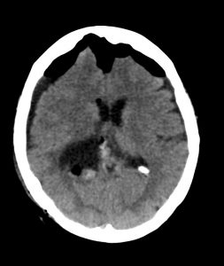
Η μετεγχειρητική αξονική τομογραφία εγκεφάλου δείχνει πλήρη αφαίρεση της βλάβης. Η ιστολογική εξέταση ανέδειξε μηνιγγίωμα WHO I.
Η ασθενής ανάρρωσε πλήρως, και εξήλθε του νοσοκομείου την 6η μετεγχειρητική ημέρα χωρίς καμία επιπλοκή.
Σχόλιο του χειρουργού:
Πρόκειται για έναν καλοήθη όγκο ο οποίος όμως αναπτύσσεται εντός του κοιλιακού συστήματος του εγκεφάλου. Εδώ οι χειρουργικές προκλήσεις είναι κυρίως δύο: Πρώτον, η προσπέλαση του όγκου η οποία απαιτεί ο νευροχειρουργός να διασχίσει υγιή εγκέφαλο και δεύτερον η αιμάτωση του όγκου, η οποία είναι «στο πίσω μέρος του όγκου», με αποτέλεσμα να μην μπορεί να ελεγχθεί εύκολα στην αρχή του χειρουργείου.
Στη συγκεκριμένη περίπτωση, με τη βοήθεια του νευροπλοηγού και της μαγνητικής δεσμιδογραφίας επιλέξαμε μια οδό η οποία ήταν σύντομη , αποφεύγοντας ταυτόχρονα κρίσιμα νευρικά δεμάτια. Χρησιμοποιώντας ελάχιστα επεμβατικές τεχνικές ελαχιστοποιήσαμε το τραύμα στον εγκέφαλο (βλ. Διεγχ. Εικόνα η οποία δείχνει την τεχνική της διήνησης με μπαλονάκι – balloon dissection).










