Ασθενής γυναίκα 60 ετών με άλγος αυχένα και αριστερού άνω άκρου (κατανομής κυρίως Α6 και λιγότερο Α5 ρίζας). Συντηρητική αγωγή με φυσικοθεραπεία, παυσίπονα και κορτικοειδή δεν είχαν οδηγήσει σε σημαντική ανακούφιση από τα συμπτώματα.
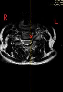
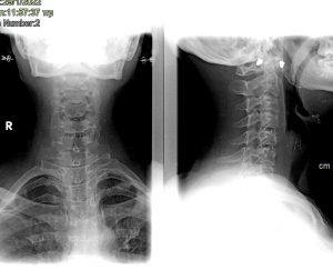
Ο απεικονιστικός έλεγχος με μαγνητική και αξονική τομογραφία της σπονδυλικής στήλης ανέδειξε εικόνα δισκοκήλης στα επίπεδα Α5/6 και λιγότερο Α4/5. Το σημαντικότερο εύρημα ήταν η πλάγια τρηματική στένωση με πίεση επί των ριζών Α6 & Α5 αριστερά.
Διενεργήθηκε πρόσθια δισκεκτομή και αποσυμπίεση των ριζών στα επίπεδα Α4/5 & Α5/6
Η ασθενής παρουσίασε άμεση και πλήρη βελτίωση των συμπτωμάτων της.
Σχόλιο του χειρουργού:
Πρόκειται για ένα απλό, στάνταρ θα έλεγα περιστατικό, χωρίς ιδιαίτερη χειρουργική δυσκολία.
Ο λόγος που το παρουσιάζω είναι διότι η ασθενής ταλαιπωρήθηκε για πολύ μεγάλο χρονικό διάστημα με τα συμπτώματά της.
Το χειρουργείο σίγουρα δεν είναι η πρώτη λύση σε περιπτώσεις αυχενοβραχιαλγίας (δηλ. πόνου στον αυχένα ή στο χέρι). Ο γιατρός οφείλει να προσπαθήσει να βοηθήσει τον ασθενή να ξεπεράσει το πρόβλημά του, χρησιμοποιώντας όλα τα διαθέσιμα συντηρητικά μέσα (με την προϋπόθεση ότι δεν υπάρχει νευρολογικό πρόβλημα). Όταν όμως τα συντηρητικά μέσα αποτύχουν και ο ασθενής έχει χάσει σημαντικά την ποιότητα ζωής του, τότε είναι λάθος να καθυστερεί το χειρουργείο, ειδικά από τη στιγμή που είναι ασφαλές και αποτελεσματικό.











