Ασθενής γυναίκα, 54 ετών με διαταραχή βάδισης.
Ο προεγχειρητικός έλεγχος ανέδειξε μηνιγγίωμα της κρανιοαυχενικής συμβολής με εγκολεασμό σημαντικών αγγειακών και νευρικών δομών και επέκταση προς την αντίθετη πλευρά.
Διενεργήθη αριστερή far lateral προσπέλαση και ολική εξαίρεση του όγκου υπό συνεχή νευροπαρακολούθηση.
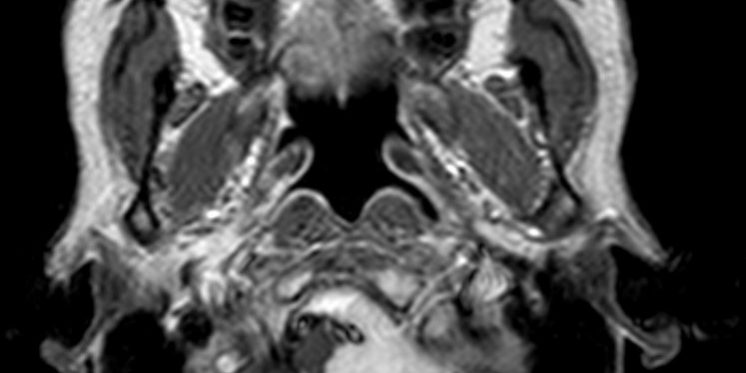
Η μετεγχειρητική μαγνητική τομογραφία εγκεφάλου δείχνει ένα εξαιρετικό αποτέλεσμα, με πλήρη αφαίρεση της βλάβης. Η ιστολογική εξέταση επιβεβαίωσε τη διάγνωση (μηνιγγίωμα WHO I).
Η ασθενής ανάρρωσε άμεσα και πλήρως, χωρίς νευρολογικό έλλειμα και εξήλθε του νοσοκομείου την 7η μετεγχειρητική ημέρα.
Σχόλιο του χειρουργού:
Πρόκειται για ένα εξαιρετικά απαιτητικό χειρουργείο λόγω της θέσης του όγκου. Παρόλο που πρόκειται για μια καλοήθη βλάβη (μηνιγγίωμα), ο όγκος αναπτύσσεται στο ύψος του ινιακού τρήματος και εγκολεάζει πολύ σημαντικές νευραγγειακές δομές. Επιπλέον, η μορφολογία του όγκου είναι εξαιρετικά σύνθετη, μια και επεκτείνεται έμπροσθεν του στελέχους του εγκεφάλου στην απέναντι (δεξιά) μεριά.
Χρησιμοποιήθηκε far lateral προσπέλαση. Είναι μια προσπέλαση η οποία επιτρέπει πρόσβαση τόσο στη βάση του κρανίου όσο και στην ανώτερη αυχενική μοίρα (κρανιοαυχενική συμβολή). Αφαιρέθηκε όλη η βλάβη χωρίς καμία βλάβη στις ευαίσθητες δομές.
Σε περιστατικά σαν και αυτό είναι πολύ σημαντική η εμπειρία του νευροχειρουργού σε σύνθετες προσπελάσεις της βάσης του κρανίου, η άριστη γνώση της ανατομίας της περιοχής και ο αξιόπιστος νευροφυσιολογικός έλεγχος.















