Ασθενής γυναίκα, 52 ετών η οποία παρουσίασε υπακουσία και επεισόδια πάρεσης του προσώπου.
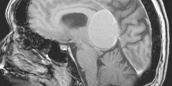
Ο απεικονιστικός έλεγχος με μαγνητική τομογραφία ανέδειξε ευμεγέθη όγκο στην περιοχή της επίφυσης (κωνάριο) με πίεση επί του μεσολοβίου, του τετραδύμου πετάλου και λοιπών εν’ τω βάθει δομών.
Διενεργήθη δεξιά ινιακή, διασκηνιδιακή, διαδρεπανική προσπέλαση και ολική αφαίρεση της βλάβης.
Η μετεγχειρητική αξονική τομογραφία εγκεφάλου δείχνει ολική εξαίρεση. Η ιστολογική εξέταση ανέδειξε μηνιγγίωμα (WHO I).
Μετεγχειρητικά η ασθενής παρουσίασε θάμβος όρασης αριστερά, το οποίο είχε ήδη υφεθεί στον ετήσιο μετεγχειρητικό έλεγχο.
Σχόλιο του χειρουργού:
Άλλη μια περίπτωση μηνιγγιώματος σε σπάνια θέση, η οποία απαιτεί εξειδικευμένες χειρουργικές τεχνικές και καλή προετοιμασία. Αυτό που βοήθησε σημαντικά ήταν η τοποθέτηση της ασθενούς σε δεξιά park-bench θέση και η προσπέλαση από τα δεξιά. Αυτό επέτρεψε στον εγκέφαλο να «πέσει», δίνοντάς μας χώρο χωρίς να χρειαστεί να τοποθετήσουμε διαστολείς για έλξη.
Από κεί και πέρα, χρειάζεται εμπειρία στο χειρισμό δομών όπως το σκηνίδιο της παρεγκεφαλίδας και το δρέπανο του εγκεφάλου. Το σκηνίδιο πρέπει να ανοίξει προκειμένω να μπορέσουμε απο υπερσκηνιδιακά να προσπελάσουμε τον υποσκηνιδιακό χώρο και το δρέπανο πρέπει επίσης να διαταμεί (ιδανικά με διατήρηση του κάτω οβελιαίου κόλπου) προκειμένω να προσπελάσουμε και τις δύο μεριές.













