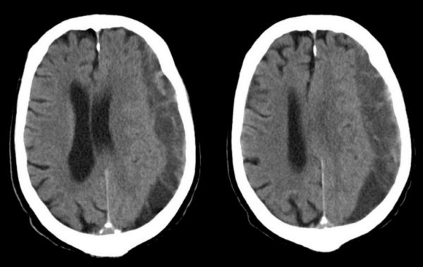
Υποσκληρίδιο Αιμάτωμα: Ποια τα αίτια;
Στις περισσότερες περιπτώσεις η αιτία του υποσκληριδίου αιματώματος είναι κάποιο τραύμα. Για να δημιουργηθεί υποσκληρίδιο αιμάτωμα σε νεαρά άτομα απαιτείται κάποιο σημαντικό τραύμα (όπως πχ. μετά από τροχαίο ατύχημα). Στους ηλικιωμένους όμως παρατηρούνται συχνά υποσκληρίδια αιματώματα ακόμα και μετά από ασήμαντο τραυματισμό.
Αυτό που συμβαίνει κατά τη διάρκεια ενός τραύματος είναι η απότομη «μετακίνηση» του εγκεφάλου εντός του κρανίου, με αποτέλεσμα τη ρήξη των επιφανειακών εγκεφαλικών αγγείων (συνήθως φλεβών). Η ρήξη του αγγείου οδηγεί σε αιμορραγία στο χώρο από όπου περνάνε τα αγγεία, που είναι ο χώρος ανάμεσα στην αραχνοειδή και τη σκληρά μήνιγγα (υποσκληρίδιος χώρος). Παρόλο που το υπαίτιο αγγείο είναι συνήθως κάποια φλέβα, τα υποσκληρίδια αιματώματα που προκαλούνται από ρήξη αρτηρίας δεν είναι τελείως ασυνήθη. Μάλιστα, υπολογίζεται ότι για το 20-30% των υποσκληριδίων αιματωμάτων ευθύνεται η ρήξη κάποιας μικρής αρτηρίας (διαμέτρου <1 χιλ).
Ένας άλλος μηχανισμός, λιγότερο συχνός, είναι η χαμηλή ενδοκράνια πίεση (ενδοκράνιος υπόταση). Η ενδοκράνιος υπόταση προκαλείται συνήθως από αυθόρμητη ή ιατρογενή διαρροή εγκεφαλονωτιαίου υγρού, όπως μπορεί να συμβεί πχ. μετά από οσφυϊονωτιαία παρακέντηση (ΟΝΠ). Καθώς η πίεση του εγκεφαλονωτιαίου υγρού μειώνεται, ο εγκέφαλος «βυθίζεται», προκαλώντας έλξη στις γεφυρικές φλέβες (δηλ. τις φλέβες οι οποίες πηγαίνουν από τον εγκέφαλο στο κρανίο) με ενδεχόμενη ρήξη τους.
Μετά τον αρχικό τραυματισμό και την αρχική συλλογή αίματος στον υποσκληρίδιο χώρο, ξεκινά ένας περίπλοκος παθοφυσιολογικός μηχανισμός ο οποίος οδηγεί στη δημιουργία μιας μεμβράνης γύρω από το αιμάτωμα. Αυτή η διαδικασία ολοκληρώνεται σε περίπου 2 εβδομάδες.
Σπάνιες αιτίες εμφάνισης υποσκληριδίου αιματώματος είναι η ρήξη ανευρύσματος, μεταστάσεις στη σκληρά μήνιγγα, αρτηριοφλεβωδης δυσπλασία κλπ.