Τι είναι η στερεοτακτική βιοψία εγκεφάλου;
Η στερεοτακτική βιοψία εγκεφάλου είναι μια συνήθης επέμβαση, με την οποία λαμβάνονται μικρά τεμάχια ιστού (πχ. ενός πιθανού όγκου) με τη βοήθεια μιας βελόνης, προκειμένου να τεθεί η τελική διάγνωση.
Η στερεοτακτική βιοψία εγκεφάλου είναι μια συνήθης επέμβαση, με την οποία λαμβάνονται μικρά τεμάχια ιστού (πχ. ενός πιθανού όγκου) με τη βοήθεια μιας βελόνης, προκειμένου να τεθεί η τελική διάγνωση.
Ο στόχος μιας βιοψίας είναι η τελική διάγνωση μιας βλάβης που ενδεχομένως να φάνηκε σε μια μαγνητική ή αξονική τομογραφία. Ενώ η μαγνητική και η αξονική τομογραφία είναι πολύ καλές στο να αναδεικνύουν μη φυσιολογικές εστίες του εγκεφάλου, δεν μπορούν πάντα να πουν με απόλυτη βεβαιότητα τι αντιπροσωπεύει μια εγκεφαλική βλάβη (πχ. αν είναι ένας καλοήθης ή κακοήθης όγκος, μια φλεγμονώδης διαδικασία, αγγειακή ανωμαλία ή άλλη παθολογία). Επειδή οι θεραπείες για τις ανωτέρω διαγνώσεις είναι πολύ διαφορετικές, είναι σημαντικό να προσδιοριστεί ποια είναι η βλάβη έτσι ώστε να μπορεί να δρομολογηθεί η κατάλληλη θεραπεία.
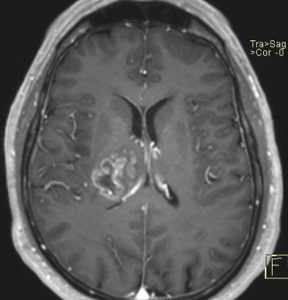
Αριστερά: Μαγνητική τομογραφία εγκεφάλου στην οποία φαίνεται πιθανός κακοήθης όγκος στην περιοχή του δεξιού θαλάμου. Δεξιά: Αξονική τομογραφία αμέσως μετά το τέλος της στερεοτακτικής βιοψίας, στην οποία επιβεβαιώνεται η λήψη ιστού από τη σωστή περιοχή – στόχο (προσωπικό αρχείο νευροχειρουργού Π. Σταυρινού)
Οι στερεοτακτικές βιοψίες εκτελούνται είτε με “στερεοτακτικό πλαίσιο” είτε “χωρίς πλαίσιο”, ανάλογα με την προτίμηση του χειρουργού και τη θέση και το μέγεθος της βλάβης.
Η πιο σύγχρονη μέθοδος στερεοτακτικής βιοψίας είναι η ρομποτική, δηλαδή με τη χρήση ρομποτικού βραχίονα (βλ. εικόνα)
Για μια βιοψία χωρίς πλαίσιο, θα χρειαστεί μια ειδική μαγνητική ή αξονική τομογραφία μία ή δύο ημέρες πριν από τη σχεδιαζόμενη βιοψία. Αυτή η εικόνα εισάγεται σε ένα σύστημα νευροπλοήγησης που μας παρέχει μια τρισδιάστατη εικόνα του εγκεφάλου και του στόχου μας, ενώ ο ασθενής βρίσκεται στο χειρουργείο. Αυτή η εικόνα χρησιμοποιείται προκειμένω ο νευροχειρουργός να καθοδηγήσει τη βελόνα βιοψίας με ασφάλεια στον στόχο (πχ. στον όγκο).
Για μια βιοψία με πλαίσιο, ένα εξάρτημα που είναι γνωστό ως στερεοτακτικό πλαίσιο προσαρμόζεται στο κεφάλι του ασθενούς λίγο πρίν γίνει μια αξονική ή μαγνητική τομογραφία.
Και οι δύο προσεγγίσεις έχουν τα ίδια ποσοστά ασφάλειας και επιτυχίας.
Και στις δύο τεχνικές γίνεται μια μικρή τομή και μια μικρή οπή στο κρανίο, μέσα από την οποία προωθείται η βελόνη.
Η επέμβαση μπορεί να γίνει τόσο με τοπική όσο και με γενική αναισθησία και η διάρκεια της επέμβασης είναι περίπου 20-30’.
Αριστερά: Ρομποτικός βραχίονας ο οποίος επιτρέπει εξαιρετικά ακριβή λήψη βιοψίας μέσα από τομή 2 χιλιοστών. Ο ρομποτικός βραχίονας είναι ότι πιο σύγχρονο και ακριβές για τη διενέργεια τέτοιων επεμβάσεων, επιτρέποντας τη λήψη ιστού ακόμα και από περιοχές του εγκεφάλου οι οποίες θεωρούνται “δύσκολες” με τις κλασσικές τεχνικές (προσωπικό αρχείο νευροχειρουργού Π. Σταυρινού). Δεξιά: Σχηματική απεικόνιση της στερεοτακτικής βιοψίας με πλαίσιο.
Το ποσοστό επιτυχημένης διάγνωσης ανέρχεται στο 95%.