Αντιμετώπιση πιθανής υποτροπής γλοιοβλαστώματος με λειζερ (LITT)
Ασθενής με ιστορικό χειρουργηθέντος γλοιοβλαστώματος παρουσίασε, στις μαγνητικές τομογραφίες παρακολούθησης, την εμφάνιση μιας νέας βλάβης ύποπτης για υποτροπή, η οποία…
Ασθενής με ιστορικό χειρουργηθέντος γλοιοβλαστώματος παρουσίασε, στις μαγνητικές τομογραφίες παρακολούθησης, την εμφάνιση μιας νέας βλάβης ύποπτης για υποτροπή, η οποία…
Ασθενής 53 ετών η οποία από πολλά χρόνια παραπονιόνταν για νευραλγία τριδύμου, δηλαδή πόνο στην περιοχή του προσώπου, κυρίως στην…
Ασθενής 45 ετών η οποία παρουσίασε αιμωδίες (μουδιάσματα) στη δεξιά πλευρά του σώματος και ακολούθως επιληπτικές κρίσεις. Ο έλεγχος με…
Ασθενής 52 ετών με εξεργασία εγκεφάλου ύποπτη για γλοιοβλάστωμα και διαταραχές ομιλίας μικτού τύπου. Αποφασίστηκε η διενέργεια κρανιοτομίας για αφαίρεση…
Ασθενής 69ετών με συμπτώματα βραδυψυχισμού και έκπτωση γνωσιακών λειτουργιών. Ο απεικονιστικός έλεγχος με μαγνητική τομογραφία ανέδειξε ευμεγέθη εξεργασία δεξιά, συμβατή…
Ασθενής 19 ετών με γνωστή χωροκατακτητική εξεργασία (επιδερμοειδες γεφυροπαρεγκεφαλιδικής γωνίας δεξιά) με προοδευτικά σημαντική αύξηση μεγέθους. Νευρολογικά ακέραιος. Ο απεικονιστικός…
Ασθενής γυναίκα, 41 ετών με εξόφθαλμο δεξιά. H Μαγνητική & Αξονική Τομογραφία εγκεφάλου ανέδειξε χωροκατακτητική εξεργασία στην περιοχή της πτέρυγας…
Ασθενής άνδρας, 31 ετών με επεισόδια κεφαλαλγίας. H Μαγνητική Τομογραφία εγκεφάλου ανέδειξε εκτεταμένη χωροκατακτητική εξεργασία δεξιά κροταφικά με πίεση επί…
Ασθενής γυναίκα 72 ετών με διαταραχές όρασης. Η μαγνητική τομογραφία εγκεφάλου αναδεικνύει χωροκατακτητική εξεργασία (όγκο) στην περιοχή του εφιππίου, με…
Ασθενής άνδρας, 48 ετών με συμπτώματα εμέτου και αδυναμίας από 15ημέρου περίπου. Στην αντικειμενική εξέταση διαπιστώθηκε σημαντική πάρεση προσωπικού νεύρου…
Ασθενής γυναίκα 58 ετών με πονοκεφάλους και διαταραχές όρασης. Ο οφθαλμολογικός έλεγχος έδειξε οίδημα οπτικών θηλών άμφω και σημαντικό περιορισμό…
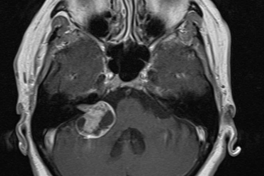
Ασθενής άνδρας, 39 ετών ο οποίος παρουσίασε έκπτωση ακοής αριστερά, διαγνώστηκε με μικρή ενδοκαναλική (δηλ. εντός του έσω ακουστικού πόρου)…
Ασθενής άνδρας 82 ετών με ιστορικό υδροκέφαλου φυσιολογικής πίεσης (Normal Pressure Hydrocephalus – NPH) στον οποίο είχε τοποθετηθεί κοιλιοπλευριτική (κοιλιοϋπεζωκοτική)…
Ασθενής άνδρας, 65 ετών ο οποίος παρουσίασε αρχικά αίσθημα κόπωσης και διαλείπουσες κεφαλαλγίες. Ο νευροαπεικονιστικός έλεγχος με μαγνητική τομογραφία με…
Ασθενής γυναίκα, 67 ετών παρουσίασε επιληπτική κρίση. Η μαγνητική τομογραφία ανέδειξε ευμεγέθη χωροκατακτητική εξεργασία δεξιά κροταφικά με σημαντικό περιεστιακό οίδημα,…
Ασθενής γυναίκα, 65 ετών η οποία παρουσίασε διαταραχές όρασης Ο απεικονιστικός έλεγχος με μαγνητική τομογραφία ανέδειξε μηνιγγίωμα του φύματος του…
Ασθενής άνδρας, 71 ετών, με κεφαλαλγίες και διαταραχή όσφρησης. Ο απεικονιστικός έλεγχος με μαγνητική τομογραφία ανέδειξε ευμεγεθες οσφρητικό μηνιγγίωμα. Διενεργήθη…
Ασθενής γυναίκα, 31 ετών με διπλωπία, υπαισθησία και αλλοδυνία του αριστερού ημιπροσώπου. Η μαγνητική τομογραφία εγκεφάλου ανέδειξε χωροκατακτητική εξεργασία στην…
Ασθενής γυναίκα, 31 ετών η οποία εμφάνισε διαταραχές όρασης αριστερά καθώς επίσης και περιστασιακή υπαισθησία του αριστερού ημίσεως του προσώπου.…
Ασθενής άνδρας, 77 ετών, με οπτικές διαταραχές. Ο απεικονιστικός έλεγχος με μαγνητική τομογραφία ανέδειξε χωροκατακτητική εξεργασία του προσθίου κρανιακού βόθρου,…
Ασθενής γυναίκα, 52 ετών η οποία παρουσίασε υπακουσία και επεισόδια πάρεσης του προσώπου. Ο απεικονιστικός έλεγχος με μαγνητική τομογραφία ανέδειξε…
Ασθενής γυναίκα, 62 ετών η οποία παρουσίασε διαταραχές του χαρακτήρα της, επεισόδια αποπροσανατολισμού καθώς επίσης και επεισόδια δυσαρθρίας. Ο απεικονιστικός…
Ασθενής γυναίκα, 54 ετών με διαταραχή βάδισης. Ο προεγχειρητικός έλεγχος ανέδειξε μηνιγγίωμα της κρανιοαυχενικής συμβολής με εγκολεασμό σημαντικών αγγειακών και…
Ασθενής άνδρας, 45 ετών με αιμωδίες του δεξιού ημιπροσώπου, ιλίγγους και κεφαλαλγία. Η μαγνητική τομογραφία εγκεφάλου ανέδειξε εκτεταμένη χωροκατακτητική εξεργασία…
Ασθενής γυναίκα, 70 ετών παρουσίασε επιληπτικές κρίσεις και αριστερή ημιανοψία. Η μαγνητική τομογραφία ανέδειξε ευμεγέθη χωροκατακτητική εξεργασία εντός της δεξιάς…
Ασθενής γυναίκα, 59 ετών παρουσίασε επεισόδιο επιληπτικής κρίσης. Η μαγνητική τομογραφία ανέδειξε ευμεγέθη χωροκατακτητική εξεργασία εντός της δεξιάς πλάγιας κοιλίας…
Ασθενής άνδρας, 49 ετών με επίμονες κεφαλαλγίες και τον τελευταίο καιρό και διαταραχές όρασης αριστερά. Η μαγνητική τομογραφία ανέδειξε χωροκατακτητική…
Ασθενής γυναίκα, 53 ετών με εμβοές. Σχεδόν φυσιολογική ακοή δεξιά. Η μαγνητική τομογραφία εγκεφάλου ανέδειξε μικρή εξεργασία στον δεξιό έσω…
Ασθενής γυναίκα, 37 ετών η οποία προοδευτικά παρουσίασε κεφαλαλγίες, διπλωπία, έκπτωση ακοής δεξιά, διαταραχές βάδισης και ημιπάρεση αριστερά. Ο απεικονιστικός…
Ασθενής άνδρας, 66 ετών με ιστορικό χειρουργηθείσας εξεργασίας (δερμοειδές) το 1991. Στους μετεγχειρητικούς ελέγχους αναδείχθηκε υποτροπή και προοδευτική άυξηση της…
Ασθενής άνδρας, 38 ετών με πολλαπλά λιποθυμικά επεισόδια μετά από οσφρητική αύρα (επιληπτικές κρίσεις). Ο απεικονιστικός έλεγχος με μαγνητική τομογραφία…
Ασθενής γυναίκα 68 ετών με προοδευτική επιδείνωση της ακοής δεξιά και επεισόδια ιλίγγων και διαταραχής της ισορροπίας και βάδισης. Η…
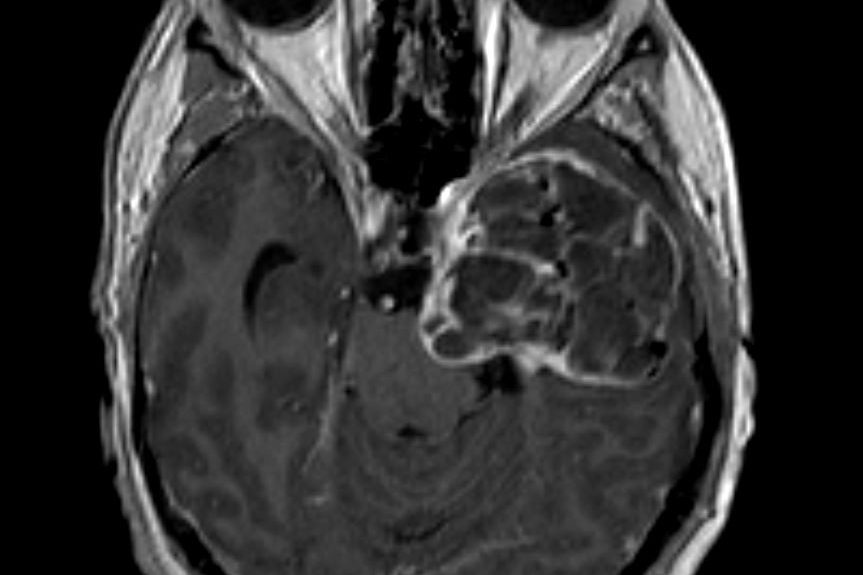
Ασθενής άνδρας, 52 ετών με κώφωση αριστερά και ιλιγγική συνδρομή. Η μαγνητική τομογραφία εγκεφάλου ανέδειξε χωροκατακτητική εξεργασία στην αριστερή γεφυροπαρεγκεφαλιδική…
Ασθενής άνδρας, 44 ετών με διαταραχές προσωπικότητας, κεφαλαλγίες και ανοσμία. Επείγουσα εισαγωγή λόγω απώλειας όρασης και βυθιότητας. Η αξονική και…