“Με τεχνικές όπως η κρανιοτομία σε εγρήγορση, δηλαδή με τον ασθενή ξύπνιο, όγκοι που κάποτε θεωρούνταν ανεγχείρητοι μπορούν πλέον να αφαιρεθούν με ασφάλεια”.
Μια πολύ λεπτή και ιδιαίτερη επέμβαση, από τις λίγες που γίνονται στην Ελλάδα, πραγματοποιήθηκε την Τρίτη 29 Νοεμβρίου 2022 στο Metropolitan Hospital, από μια ομάδα ιατρών που αποτελείτο από τους νευροχειρουργούς κ.κ. Παντελή Σταυρινού, Χρήστο Κουτσαρνάκη και Σωτήριο Αποστολάκη, με την πολύτιμη υποστήριξη της αναισθησιολόγου κ. Θεανώς Δεμέστιχα, της νευροψυχολόγου κ. Εύας Λιούτα και του διεγχειρητικού Νευροφυσιολόγου κ. Κώστα Παπαδόπουλου.
Επρόκειτο για την αφαίρεση όγκου ο οποίος αναπτυσσόταν στην περιοχή του λόγου, στον εγκέφαλο νεαρής δικηγόρου. Λόγω της εντοπίσεως του όγκου η επέμβαση έπρεπε να ισορροπήσει ανάμεσα στην επιθετική αφαίρεση του όγκου αλλά και τη διατήρηση των σημαντικότατων για την ασθενή λειτουργιών. Για το λόγο αυτό, η κρανιοτομία για την αφαίρεση του όγκου πραγματοποιήθηκε με την ασθενή σε εγρήγορση καθ’ όλη τη διάρκειά της. Δηλαδή, η ασθενής ήταν ξύπνια και απαντούσε σε προσυμφωνημένες ερωτήσεις ή εκτελούσε απλές δραστηριότητες (όπως μέτρημα) και κινήσεις, προκειμένου να είναι δυνατή η εκτίμηση, σε πραγματικό χρόνο, της επίδρασης των χειρουργικών χειρισμών στην εκφορά του λόγου και στη γενική λειτουργική ικανότητά της.
Για να πραγματοποιηθεί η επέμβαση επιστρατεύτηκαν τα πιο σύγχρονα τεχνολογικά μέσα, όπως η διεγχειρητική χαρτογράφηση του εγκεφάλου, η νευροπλοήγηση και ο διεγχειρητικός υπέρηχος, ενώ προεγχειρητικά έγινε λεπτομερής απεικονιστικός έλεγχος για να διαπιστωθεί το πού βρίσκονταν οι λειτουργικές περιοχές και τα λειτουργικά δεμάτια του εγκεφάλου και το πόσο κοντά περνούσαν από τον όγκο. Στη συνέχεια η ασθενής υπεβλήθη σε λεπτομερή νευροψυχολογικό έλεγχο, για να μελετηθεί με ακρίβεια η κατάσταση των εγκεφαλικών λειτουργιών και να προσδιοριστούν οι ερωτήσεις & οι δραστηριότητες που θα έπρεπε να απαντήσει ή να εκτελέσει κατά τη διάρκεια της επέμβασης.
Η επέμβαση ήταν απολύτως επιτυχής. Η χειρουργική ομάδα λειτούργησε σαν μια άψογη ορχήστρα, επιτυγχάνοντας το ιδανικό αποτέλεσμα για την υγεία της ασθενούς, η οποία και πήρε εξιτήριο την 4η μόλις μετεγχειρητική μέρα.
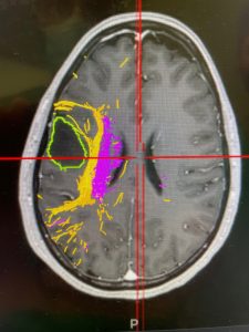
Αριστερά: Μαγνητική δεσμιδογραφία με την οποία απεικονίζεται η σχέση του όγκου με τα κρίσιμα δεμάτια του εγκεφάλου (επί τω προκειμένω: SLF και πυραμιδική οδός). Δεξιά: Εικόνα από το χειρουργείο (προσωπικό αρχείο νευροχειρουργού Παντελή Σταυρινού)






