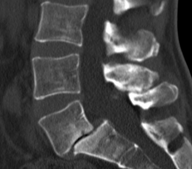
Διαδερμική (ελάχιστα επεμβατική) Σπονδυλοδεσία Ο5/Ι1
Ασθενής άδρας 33 ετών με έντονη οσφυαλγία απο 12μήνου και επιδείνωση από διμήνου. Ο απεικονιστικός έλεγχος ανέδειξε σπονδυλολίσθηση 2ου βαθμού σε έδαφος σπονδυλόλυσης στο ύψος Ο5-Ι1. Διενεργήθη διαδερμική (ελάχιστα επεμβατική) σπονδυλοδεσία στο επίπεδο Ο5-Ι1 Ο ασθενής παρουσίασε σημαντική βελτίωση της συμπτωματολογίας του. Εξήλθε του νοσοκομείου την 3η μετεγχειρητική ημέρα. Προεγχειρητική Αξονική Τομογραφία Μετεγχειρητική Αξονική Τομογραφία…



