Στο παρόν άρθρο θα εστιάσω στην αυχενική μυελοπάθεια εκφυλιστικού τύπου, δηλ. την αυχενική μυελοπάθεια η οποία προκαλείται από τη γήρανση της σπονδυλικής στήλης και όχι από άλλες αιτίες όπως για παράδειγμα τραύμα ή νεοπλασία.
Η αυχενική μυελοπάθεια εκφυλιστικού τύπου είναι η συχνότερη αιτία δυσλειτουργίας του νωτιαίου μυελού. Χαρακτηρίζεται σχεδόν πάντα από στένωση του σπονδυλικού σωλήνα (δηλαδή του οστέϊνου σωλήνα μέσα στον οποίο βρίσκεται ο νωτιαίος μυελός) η οποία μπορεί να οφείλεται σε οστεοαρθριτικές αλλοιώσεις (τη λεγόμενη «σπονδύλωση») ή σε ανωμαλίες των συνδέσμων της αυχενικής μοίρας (όπως για παράδειγμα εκτεταμένη επασβέστωση του οπισθίου επιμήκους συνδέσμου). Η κατάσταση είναι παρόμοια με την οστεοαρθρίτιδα του γονάτου ή του ισχίου, μόνο που στην αυχενική μυελοπάθεια, εκτός από πόνος μπορεί να υπάρχει και νευρολογική βλάβη λόγω της πίεσης του νωτιαίου μυελού.
Με τον πληθυσμό να γίνεται όλο και πιο γηραιός, η αυχενική μυελοπάθεια αναμένεται να γίνεται όλο και συχνότερη. Υπολογίζεται ότι η συχνότητα σε άτομα >65ετών θα αυξηθεί από το 13% που είναι τώρα στο 22% περίπου το 2050. Αυτή η αύξηση της συχνότητας της αυχενικής μυελοπάθειας οδήγησε και σε σημαντική αύξηση των ερευνών πάνω στον τομέα αυτό, ενώ το 2017 δημοσιεύτηκαν οι κατευθυντήριες οδηγίες (guidelines) για την αντιμετώπιση της αυχενικής μυελοπάθειας (Fehlings, Glob Spine J, 2017).
Εικόνα 1: Αλλαγές που επισυμβαίνουν κατά την εκφύλιση (γήρανση) της αυχενικής μοίρας της σπονδυλικής στήλης και μπορεί να οδηγήσουν σε αυχενική μυελοπάθεια (εικόνα επεξεργασμένη από Krisky Biomedia)
Παθοφυσιολογία
1. Πίεση του νωτιαίου μυελού
Στην πίεση του νωτιαίου μυελού και την ανάπτυξη αυχενικής μυελοπάθειας παίζουν ρόλο διάφοροι παράγοντες.
Ένας σημαντικός τέτοιος παράγοντας είναι η στένωση στην αυχενική μοίρα λόγω δισκοπάθειας και σπονδύλωσης. Ο μεσοσπονδύλιος δίσκος έχει έναν ανθεκτικό περίβλημα από κολλαγόνο που λέγεται «ινώδης δακτύλιος» και ένα μαλακό εσωτερικό περιεχόμενο, σαν gel που λέγεται «πηκτοειδής πυρήνας». Ο πυρήνας αυτός κρατά νερό το οποίο του προσδίδει την ελαστικότητα που χρειάζεται προκειμένω ο δίσκος να μπορεί να απορροφά τους κραδασμούς και να επιτρέπει τις κινήσεις. Με τα χρόνια και την καταπόνηση, ο πυρήνας αφυδατώνεται και δεν είναι πλέον σε θέση να απορροφήσει αποτελεσματικά τους κραδασμούς. Αυτό έχει σαν συνέπεια οι δυνάμεις να επιβαρύνουν τον ινώδη δακτύλιο και τις αρθρώσεις και αυτό με τη σειρά του πυροδοτεί μια σειρά απο εκφυλιστικές αλλαγές οι οποίες χαρακτηρίζουν τη σπονδύλωση: απώλεια ύψους του δίσκου, δισκοκήλες, δημιουργία οστεοφύτων, υπερτροφία αρθρώσεων, επασβεστώσεις συνδέσμων κλπ. Όλοι αυτοί οι παράγοντες οδηγούν τελικά στη στένωση του σπονδυλικού σωλήνα, δηλαδή μειώνεται ο χώρος μέσα στον οποίο βρίσκεται ο νωτιαίος μυελός (Εικόνα 1).
Ο δεύτερος επιβαρυντικός παράγοντας είναι η κίνηση του αυχένα. Όταν ο ασθενής εκτείνει προς τα πίσω τον αυχένα του (πχ. όταν κοιτά προς τα πάνω) ο οπίσθιος επιμήκης σύνδεσμος «διπλώνει» και πιέζει τον νωτιαίο μυελό. Αυτό είναι ακόμη πιο έντονο όταν ο σύνδεσμος αυτός είναι υπερτροφικός.
2. Μηχανισμός νευρικής βλάβης
Όταν ο νωτιαίος μυελός πιέζεται για μεγάλο χρονικό διάστημα λόγω των αιτιών που προαναφέρθηκαν αυτό που συμβαίνει είναι απώλεια των γλοιακών κυττάρων και των νευρώνων. Το τί ακριβώς συμβαίνει δεν το γνωρίζουμε πλήρως όμως με τη βοήθεια πειραματικών μοντέλων οι επιστήμονες έχουν καταφέρει να προσομοιώσουν τη βλάβη της αυχενικής μυελοπάθειας:
- Ισχαιμία
Η διαταραχή της αιμάτωσης του νωτιαίου μυελού θεωρείται ιδιαίτερα σημαντική στην ανάπτυξη της αυχενικής μυελοπάθειας. Η χρόνια πίεση οδηγεί σε μειωμένη αιμάτωση. Ουσιαστικά, τα οστεόφυτα, οι δισκοκήλες, οι υπερτροφικοί σύνδεσμοι, και γενικά όλα εκείνα τα στοιχεία τα οποία «κλείνουν» το σπονδυλικό κανάλι, οδηγούν σε πίεση των αρτηριών που αρδεύουν τον νωτιαίο μυελό. Ως εκ’ τούτου, η ροή του αίματος μειώνεται και μειώνεται και η αιμάτωση του νωτιαίου μυελού. Μελέτες έχουν δείξει ότι στην αυχενική μυελοπάθεια η απομυελίνωση του νωτιαίου μυελού συμβαίνει κυρίως στη φαιά ουσία και στο κέντρο του νωτιαίου μυελού, δηλαδή στις περιοχές που αιματώνονται κυρίως από την πρόσθια νωτιαία αρτηρία. Υπάρχει όμως και τοπική πίεση στα μικρά επιφανιακά διατιτραίνοντα αγγεία, γι’ αυτό η βλάβη του νωτιαίου μυελού είναι «εντοπισμένη». Σε ασθενείς μάλιστα που υπάρχει και κύφωση, η διαταραχή της αιμάτωσης είναι ακόμη πιο έντονη.
- Διαταραχή του αιματοεγκεφαλικού φραγμού
Ο αιματοεγκεφαλικός φραγμός είναι ένας φραγμός ο οποίος εμποδίζει βλαβερές ουσίες να περάσουν από την κυκλοφορία στον νωτιαίο μυελό. Αντίστοιχος μηχανισμός υπάρχει και στον εγκέφαλο (εξ’ ού και η ονομασία αιματοεγκεφαλικός φραγμός). Γνωρίζουμε ότι ο αιματοεγκεφαλικός φραγμός διαταράσσεται πχ. σε τραύμα του νωτιαίου μυελού και είναι πολύ πιθανό κάτι αντίστοιχο να συμβαίνει και στην αυχενική μυελοπάθεια. Η χρόνια πίεση οδηγεί σε καταστροφή των ενδοθηλιακών κυττάρων τα οποία είναι πολύ σημαντικά για τον αιματοεγκεφαλικό φραγμό. Επίσης, η ισχαιμία που προαναφέρθηκε μπορεί να παίζει ρόλο στην καταστροφή των ενδοθηλιακών κυττάρων.
- Φλεγμονή
Η διαταραχή του αιματοεγκεφαλικού φραγμού προάγει το οίδημα του νωτιαίου μυελού και την είσοδο φλεγμονωδών κυττάρων από την κυκλοφορία. Έτσι προκύπτει μια φλεγμονώδης διαδικασία η οποία χαρακτηρίζεται από την ενεργοποίηση της μικρογλοίας και των μακροφάγων κυττάρων στην περιοχή της πίεσης. Αυτά τα φλεγμονώδη κύτταρα είναι που παράγουν τις προφλεγμονώδεις κυτοκίνες και τελικά ξεκινούν έναν ιδιαίτερα περίπλοκο μηχανισμό συντήρησης της φλεγμονής.
- Απόπτωση
Η ισχαιμία και φλεγμονή που προαναφέρθηκαν οδηγούν τελικά στην απόπτωση των κυττάρων του νωτιαίου μυελού, δηλαδή στο θάνατό τους.
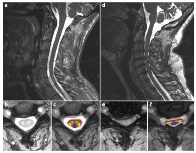
Εικόνα 2: Αριστερά, φυσιολογική μαγνητική τομογραφία (a-c) όπου φαίνεται ότι δεν υπάρχει πίεση επί του νωτιαίου μυελού και τα νευρικά δεμάτια (έγχρωμη εικόνα) δεν είναι συμπιεσμένα. Δεξιά, αυχενική μοίρα με εικόνα σπονδύλωσης και πίεση του νωτιαίου μυελού.
Κλινική Εξέταση
Όταν ο γιατρός υποπτεύεται αυχενική μυελοπάθεια θα πρέπει να ακολουθήσει η λήψη λεπτομερούς ιστορικού και η προσεκτική εξέταση του ασθενούς. Τα κλασικά συμπτώματα είναι πόνος (πχ. στον αυχένα ή και στα άκρα), αδυναμία ή μουδιάσματα στα άνω άκρα ή κάτω άκρα, διαταραχή των λεπτών κινήσεων (πχ. κούμπωμα κουμπιού), ακαμψία χεριών και ποδιών, διαταραχή ισορροπίας ή και διαταραχή στην ούρηση και αφόδευση.
Κατά την εξέταση ίσως διαπιστωθούν αυξημένα αντανακλαστικά, κλόνος, σπαστικότητα κ.α.
Δύο κλίμακες οι οποίες χρησιμοποιούνται συχνά για να εκτιμηθεί η σοβαρότητα της αυχενικής μυελοπάθειας είναι η mJOA (modified Japanese Orthopaedic Association) και η κλίμακα Nurick.
Πίνακας 1
| Κλίμακα modified Japanese Orthopaedic Association (mJOA) | ||
| Τύπος Διαταραχής | Βαρύτητα | Σκόρ |
| Διαταραχή Κινητικότας
Άνω Άκρα |
Αδυναμία κίνησης χεριών | 0 |
| Αδυναμία σίτισης με κουτάλι | 1 | |
| Αδυναμία να κουμπώσει ένα κουμπί πουκαμίσου | 2 | |
| Μπορεί να κουμπώσει, αλλά με μεγάλη δυσκολία | 3 | |
| Μπορεί να κουμπώσει, με μικρή δυσκολία | 4 | |
| Χωρίς διαταραχή | 5 | |
| Διαταραχή Κινητικότητας
Κάτω Άκρα |
Πλήρης απώλεια κινητικότητας & αισθητικότητας | 0 |
| Υπάρχει αίσθηση όμως καθόλου κινητικότητα | 1 | |
| Υπάρχει κίνηση κάτω άκρων, όμως αδυναμία βάδισης | 2 | |
| Μπορεί να περπατήσει σε ίσιο έδαφος με μπαστούνι | 3 | |
| Μπορεί να ανέβει/κατέβει σκάλα αν κρατιέται | 4 | |
| Μέτρια έως σοβαρή αστάθεια αλλά μπορεί να ανέβει/κατέβει σκάλα χωρίς να κρατιέται | 5 | |
| Μπορεί να βαδίσει με ήπια αστάθεια | 6 | |
| Χωρίς διαταραχή | 7 | |
| Αισθητικές Διαταραχές
Άνω Άκρων |
Πλήρης απώλεια της αισθητικότητας του χεριού | 0 |
| Σοβαρή απώλεια της αισθητικότητας ή πόνος | 1 | |
| Ήπια απώλεια της αισθητικότητας | 2 | |
| Χωρίς διαταραχή | 3 | |
| Διαταραχή Σφιγκτήρα | Αδυναμία εκούσιας ούρησης | 0 |
| Σημαντική διαταραχή ούρησης | 1 | |
| Ήπια έως σοβαρή διαταραχή της ούρησης | 2 | |
| Χωρίς διαταραχή | 3 | |
Με βάση την παραπάνω κλίμακα ο ασθενής κατατάσσεται ως εξής:
Ήπια μυελοπάθεια: 15-17, μέτρια μυελοπάθεια: 12-14, σοβαρή μυελοπάθεια: ≤11
Πίνακας 2
| Η κλίμακα αξιολόγησης αυχενικής μυελοπάθειας Nurick |
| Βαθμού 0
Συμπτώματα ή σημεία πίεσης νωτιαίας ρίζας χωρίς όμως ενδείξεις πίεσης του νωτιαίου μυελού |
| Βαθμού 1
Σημεία πίεσης του νωτιαίου μυελού, χωρίς όμως δυσκολία βάδισης |
| Βαθμού 2
Ήπια διαταραχή βάδισης αλλά δεν παρεμποδίζεται η εργασία |
| Βαθμού 3
Διαταραχή βάδισης η οποία παρεμποδίζει την εργασία ή τις οικιακές δουλειές, όμως ο ασθενής μπορεί να βαδίσει χωρίς βοήθεια |
| Βαθμού 4
Ο ασθενής μπορεί να βαδίσει μόνο με τη βοήθεια τρίτου ή με μπαστούνι |
| Βαθμού 5
Κλινήρης ή σε αναπηρικό καροτσάκι |
Διαγνωστικός Έλεγχος
Μαγνητική Τομογραφία
Η μαγνητική τομογραφία είναι η πιο σημαντική εξέταση στην αξιολόγηση της σοβαρότητας της αυχενικής μυελοπάθειας.Η μαγνητική μπορεί να δείξει την αιτιολογία της μυελοπάθειας πχ. δισκοκήλη, στένωση, επασβεστώσεις συνδέσμων κλπ. Χρησιμοποιώντας Τ2 ακολουθίες μπορεί να αναδειχθεί το υψηλό σήμα εντός του νωτιαίου μυελού το οποίο είναι χαρακτηριστικό της μυελοπάθειας. Η μαγνητική μπορεί να βοηθήσει και στη διαφορική διάγνωση από άλλες παθήσεις όπως πχ. νεοπλασία του νωτιαίου μυελού, πολλαπλή σκλήρυνση κλπ.
Αξονική Τομογραφία
Η αξονική τομογραφία και οι απλές ακτινογραφίες της αυχενικής μοίρας είναι χρήσιμες στην αξιολόγηση των οστών και της γενικής κατάστασης της σπονδυλικής στήλης. Επίσης, είναι μια εναλλακτική σε ασθενείς οι οποίοι δε μπορούν να κάνουν μαγνητική τομογραφία όπως πχ. ασθενείς με βηματοδότη.
Ηλεκτροφυσιολογικός Έλεγχος
Ο ηλεκτροφυσιολογικός έλεγχος έχει τριπλή αξία: πρώτον, βοηθά στο να τεθεί η διάγνωση αλλά και να παρακολουθείται η πορεία του ασθενούς. Δεύτερον, επιτρέπει να διαπιστωθεί αν συνυπάρχει και ριζοπάθεια δηλαδή αν εκτός από τον νωτιαίο μυελό πιέζεται και κάποια αυχενική ρίζα. Τρίτον, επιτρέπει να αποκλειστούν άλλες παθήσεις όπως η πλάγια μυατροφική σκλήρυνση κ.α.
Εξέλιξη της νόσου
Αυτό είναι ένα από τα πιο σημαντικά ζητήματα και πολλοί ασθενείς οι οποίοι βρίσκονται μπροστά από μια θεραπευτική απόφαση όπως πχ. ένα χειρουργείο ρωτούν ακριβώς αυτό: πώς θα εξελιχθεί η νόσος.
Διάφορες μελέτες έχουν δείξει ότι η εξέλιξη της νόσου ποικίλλει σημαντικά από ασθενή σε ασθενή. Με βάση τα όσα γνωρίζουμε, αρκετοί ασθενείς παραμένουν σταθεροί για μεγάλο χρονικό διάστημα χωρίς επιδείνωση της νευρολογικής τους εικόνας. Ένα σημαντικό ποσοστό ασθενών όμως παρουσιάζουν σταδιακή επιδείνωση. Μια μελέτη του 2017 έδειξε ότι έως και 62% των ασθενών παρουσιάζουν επιδείνωση εντός 3-6 ετών (Rhee, Glob Spine J, 2017).
Η πραγματικότητα είναι ότι δε γνωρίζουμε ακριβώς πως εξελίσσονται οι ασθενείς με μυελοπάθεια. Αν αποφασιστεί η συντηρητική αντιμετώπιση ενός ασθενούς με μυελοπάθεια, είναι σημαντικό να παρακολουθείται στενά έτσι ώστε να προληφθεί εγκαίρως η νευρολογική βλάβη σε περίπτωση επιδείνωσης.
Αντιμετώπιση
Συντηρητική Αντιμετώπιση
Η συντηρητική (δηλαδή μη-χειρουργική) αντιμετώπιση περιλαμβάνει μέτρα όπως οι έλξεις, τοποθέτηση κηδεμόνα, αναλγητικά, φυσικοθεραπεία και αποφυγή επικίνδυνων δραστηριοτήτων. Η πραγματικότητα όμως είναι ότι ο ρόλος της συντηρητικής θεραπείας είναι ασαφής. Μελέτες οι οποίες παρακολούθησαν ασθενείς οι οποίοι δεν χειρουργήθηκαν, δηλαδή αντιμετωπίστηκαν «συντηρητικά» έδειξαν ότι στην πλεινότητα των ασθενών δεν υπήρξε ουσιαστική βελτίωση (Tetreault et al. Glob Spine J, 2017). Με βάση τη βιβλιογραφία, φαίνεται ότι έως και 52% των ασθενών που αντιμετωπίζονται αρχικά συντηρητικά τελικά καταλήγουν να χειρουργηθούν. Σε κάθε περίπτωση, οι ασθενείς που αντιμετωπίζονται αρχικά συντηρητικά πρέπει να παρακολουθούνται πολύ στενά έτσι ώστε να ακολουθήσει η έγκαιρη παρέμβαση σε περίπτωση επιδείνωσης.
Χειρουργείο
Με βάση τις διεθνείς κατευθυντήριες οδηγίες, προτείνεται χειρουργική θεραπεία για τους ασθενείς με μέτριου (mJOA 12-14) και σοβαρού βαθμού μυελοπάθεια (mJOA ≤11). Για ήπια μυελοπάθεια ((mJOA 15-17) οι κατευθυντήριες οδηγίες προτείνουν είτε χειρουργείο είτε στενή παρακολούθηση.
Στόχος του χειρουργείου είναι καταρχάς να απελευθερώσει τον νωτιαίο μυελό από την πίεση. Κατά δεύτερο λόγο, το χειρουργείο μπορεί να σταθεροποιήσει τη σπονδυλική στήλη και να αποκαταστήσει τη φυσιολογική ανατομία της, αν αυτό απαιτείται. Πολλοί ασθενείς πχ. με εκτεταμένες αλλοιώσεις της αυχενικής μοίρας παρουσιάζουν παραμόρφωση της σπονδυλικής στήλης (πχ. σπονδυλολίσθηση ή κύφωση κλπ.) η οποία μπορεί να αποκατασταθεί με το χειρουργείο. Η προσπέλαση του αυχένα μπορεί να είναι πρόσθια (δηλ. απο μπροστά, από το λαιμό) ή οπίσθια (δηλ. απο πίσω) ενώ σε μερικές περιπτώσεις ενδέχεται να χρειαστεί συνδυασμός των δύο τεχνικών. Πρόσθιες τεχνικές είναι για παράδειγμα η πρόσθια δισκεκτομή (σε ένα ή περισσότερα επίπεδα) και η σωματεκτομή. Οπίσθιες τεχνικές είναι πχ. η πεταλεκτομία, η πεταλοπλαστική και η οπίσθια σπονδυλοδεσία.
Η επιλογή της σωστής τεχνικής είναι ένα μεγάλο θέμα το οποίο ξεφεύγει του παρόντος άρθρου. Εν συντομία, οι οπίσθιες προσπελάσεις προτιμώνται όταν η συμπίεση είναι σε πολλά επίπεδα και προέρχεται από τα οπίσθια ανατομικά στοιχεία (βλ. Εικόνα 1) ή σε περίπτωση εκτεταμένης επασβέστωσης του οπισθίου επιμήκους συνδέσμου. Οι πρόσθιες προσπελάσεις είναι κατάλληλες όταν η πίεση είναι από μπροστά και όταν χρειάζεται να αποκατασταθεί η φυσιολογική λόρδωση της αυχενικής σπονδυλικής στήλης.
Πολύ σημαντικό ρόλο κατά τη διάρκεια της επέμβασης παίζει η παρακολούθηση της νευρικής λειτουργίας με τη βοήθεια του ηλεκτροφυσιολογικού ελέγχου.
Αποτελεσματικότητα του Χειρουργείου
Ο στόχος της επέμβασης είναι πρωτίστως να αποφευχθεί η περαιτέρω επιδείνωση του ασθενούς. Εντούτοις, υπάρχουν επιστημονικά δεδομένα τα οποία δείχνουν ότι η βελτίωση μετά το χειρουργείο είναι πολύ πιθανή αλλά όχι βέβαιη (Fehlings, J Bone Joint Surg, 2013 & Spine 2015). Το ποσοστό επιπλοκών ήταν χαμηλό και στις δύο μελέτες.
Είναι σημαντικό οι ασθενείς να ενημερώνονται ότι πρωταρχικός στόχος είναι να μη χειροτερέψουν καθώς επίσης και ότι υπάρχει η μικρή πιθανότητα τα συμπτώματα να συνεχίσουν να επιδεινώνονται παρά το επιτυχημένο -τεχνικά- χειρουργείο.
Επιβαρυντικοί παράγοντες είναι η διάρκεια των συμπτωμάτων (δηλ. όσο περισσότερο χρόνο έχει ο ασθενής τα συμπτώματα τόσο λιγότερο πιθανό είναι να βελτιωθεί), η βαρύτητα των συμπτωμάτων (όσο πιο βαριά η κλινική εικόνα τόσο λιγότερο πιθανό ο ασθενής να ιαθεί πλήρως) και η ηλικία (τα ηλικιωμένα άτομα έχουν λιγότερες πιθανότητες να βελτιωθούν σε σχέση με τα νεότερα). Απο τα παραπάνω καθίσταται σαφές ότι η έγκαιρη διάγνωση και η έγκαιρη θεραπεία επηρεάζουν σημαντικά την πρόγνωση.
Άλλοι παράγοντες που έχουν συζητηθεί ως επιβαρυντικοί (χωρίς όμως ο ρόλος τους να έχει αποσαφηνιστεί πλήρως) είναι το κάπνισμα, ο σακχαρώδης διαβήτης, ψυχιατρικά νοσήματα (π.χ. κατάθλιψη) και η παχυσαρκία.
Συμπεράσματα
Η αυχενική μυελοπάθεια χαρακτηρίζεται από νευρολογική επιδείνωση λόγω πίεσης του νωτιαίου μυελού στο ύψος της αυχενικής μοίρας της σπονδυλικής στήλης. Αν και η πορεία των ασθενών ποικίλει, συνήθως οι ασθενείς χειροτερεύουν με την πάροδο του χρόνου. Η θεραπεία εκλογής (για τους περισσότερους ασθενείς) είναι η χειρουργική αποσυμπίεση η οποία θα σταματήσει τη νευρολογική επιδείνωση και σε πολλούς ασθενείς θα οδηγήσει σε σημαντική βελτίωση. Η έγκαιρη διάγνωση και θεραπεία είναι ιδιαίτερα σημαντική προκειμένω να προληφθούν ανεπανόρθωτες βλάβες στο νωτιαίο μυελό.







