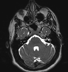
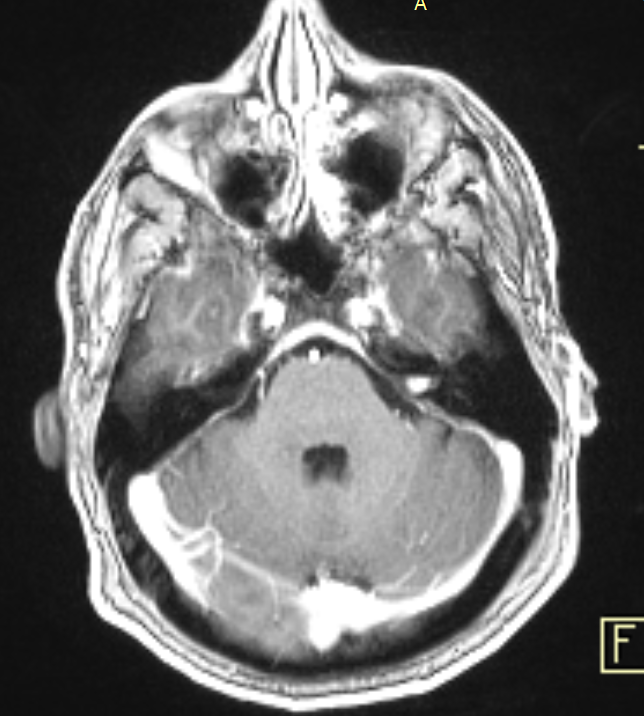
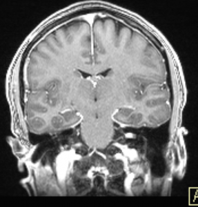
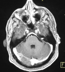
Ενδοκαναλικό Ακουστικό Νευρίνωμα αριστερά

You are here:
Go to Top