Ασθενής 69ετών με συμπτώματα βραδυψυχισμού και έκπτωση γνωσιακών λειτουργιών.
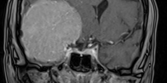
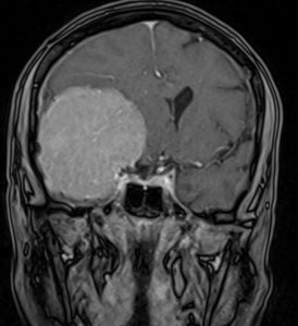
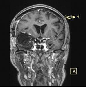
Ο απεικονιστικός έλεγχος με μαγνητική τομογραφία ανέδειξε ευμεγέθη εξεργασία δεξιά, συμβατή με μηνιγγίωμα πτέρυγας σφηνοειδούς οστού.
Διενεργήθη δεξιά πτεριονική προσπέλαση και εξαίρεση της βλάβης.
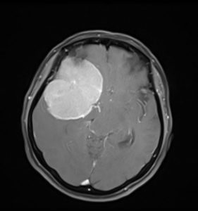
Η μετεγχειρητική αξονική τομογραφία εγκεφάλου δείχνει αφαίρεση της βλάβης χωρίς παρουσία επιπλοκών, και κυρίως χωρίς κάποιο έμφρακτο από τα εμπλεκόμενα αγγεία. Η ιστολογική εξέταση ανέδειξε μηνιγγίωμα, WHO Grade I.
Μετεγχειρητικά η ασθενής ήταν άριστη νευρολογικά και εξήλθε του νοσοκομείου την 4η μετεγχειρητική ημέρα.
Σχόλιο του χειρουργού:
Πρόκειται για ένα μεγάλο μηνιγγίωμα το οποίο εμπλέκει πολύ σημαντικά ανατομικά στοιχεία όπως την καρωτίδα και τους κλάδους της και το δεξί οπτικό νεύρο.
Σε χειρουργεία σαν και αυτό, πέραν από την αφαίρεση του όγκου, είναι σημαντικό να αναγνωριστούν, να παρασκευαστούν και να διαφυλαχθούν όλες οι αρτηρίες της περιοχής, προκειμένω να αποφευχθεί κάποιο μετεγχειρητικό έμφρακτο. Το οπτικό νεύρο, το οποίο συχνά είναι πιεσμένο, πρέπει επίσης να αναγνωριστεί και φυσικά να αποκολληθεί με προσοχή από τον όγκο.
Υπομονή, σωστή μικροχειρουργική τεχνική και άριστη γνώση της ανατομίας της περιοχής είναι απαραίτητα για ένα καλό αποτέλεσμα.










