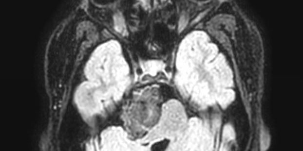
Ασθενής 19 ετών με γνωστή χωροκατακτητική εξεργασία (επιδερμοειδες γεφυροπαρεγκεφαλιδικής γωνίας δεξιά) με προοδευτικά σημαντική αύξηση μεγέθους. Νευρολογικά ακέραιος.
Ο απεικονιστικός έλεγχος με μαγνητική τομογραφία ανέδειξε ευμεγέθη εξεργασία στη δεξιά γεφυροπαρεγκεφαλιδική γωνία.
Διενεργήθη οπισθοσιγμοειδική οστεοπλαστική προσπέλαση και ολική εξαίρεση της βλάβης.
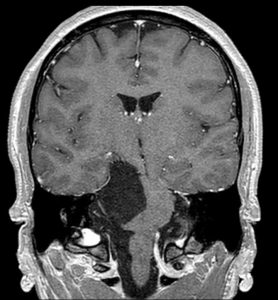
Η μετεγχειρητική αξονική τομογραφία εγκεφάλου δείχνει πλήρη αφαίρεση της βλάβης. Η ιστολογική εξέταση ανέδειξε επιδερμοειδή κύστη (Epidermoid Cyst, WHO Grade I)
Μετεγχειρητικά o ασθενής ήταν ακέραιος νευρολογικά και εξήλθε του νοσοκομείου την 4η μετεγχειρητική ημέρα.
Σχόλιο του χειρουργού:
Οι επιδερμοειδείς κύστεις είναι απολύτως καλοήθεις όγκοι, οι οποίοι αναπτύσσονται αργά αλλά σταθερά. Το πρόβλημα συχνά είναι ότι τη στιγμή που γίνονται αντιληπτοί έχουν ήδη λάβει μεγάλες διαστάσεις, ενώ μια από τις συνηθέστερες εστίες ανάπτυξής τους -η λεγόμενη γεφυροπαρεγκεφαλιδική γωνία- είναι μια “χειρουργικά απαιτητική” περιοχή της βάσης του κρανίου με πολλά και σημαντικά ανατομικά στοιχεία (δηλαδή με πολλά και σημαντικά νεύρα και αγγεία).
Σε τέτοιες βλάβες είναι εξαιρετικά σημαντική η εμπειρία του νευροχειρουργού στη χειρουργική των όγκων της βάσης κρανίου. Σημαντικά βοηθήματα είναι ο διεγχειρητικός νευροφυσιολογικός έλεγχος και η χρήση του ενδοσκοπίου προκειμένω να ελεγχθούν ακόμα και “κρυφά” σημεία του χειρουργικού πεδίου.











