Ασθενής 53 ετών η οποία από πολλά χρόνια παραπονιόνταν για νευραλγία τριδύμου, δηλαδή πόνο στην περιοχή του προσώπου, κυρίως στην περιοχή της άνω και κάτω γνάθου (δηλ. 2ος και 3ος κλάδος του τριδύμου νεύρου). Τα συμπτώματα ήταν σταδιακά επιδεινούμενα και το τελευταίο έτος η ασθενής έπαιρνε καθημερινά αγωγή με καρβαμαζεπίνη και πρεγκαμπαλίνη χωρίς σημαντική ανακούφιση.
Η μαγνητική έδειξε ένα σχετικά μικρό ακουστικό νευρίνωμα αριστερά όμως η αιτία των προβλημάτων της ασθενούς ήταν ένα μηνιγγίωμα στην περιοχή της κορυφής του λιθοειδούς δεξιά το οποίο πίεζε το τρίδυμο νεύρο τόσο πριν όσο και εντός του Meckel’s cave (περιοχή του γαγγλίου του τριδύμου).
Αποφασίστηκε αρχικά η ακτινοχειρουργική αντιμετώπιση του ακουστικού νευρινώματος με ακτινοχειρουργική (SRS). Λίγες εβδομάδες μετά η ασθενής υπεβλήθη σε τροποποιημένη οπισθομαστοειδική κρανιοτομία (RISA – Retrosigmoid Intradural Suprameatal Approach) όπου η βλάβη αφαιρέθηκε ολικώς.
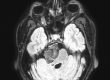
Η μετεγχειρητική μαγνητική τομογραφία ανέδειξε πλήρη εξαίρεση του όγκου (βλ εικόνες).
Στο follow up η ασθενής ήταν ελεύθερη συμπτωμάτων.
Σχόλιο του χειρουργού:
Το συγκεκριμένο περιστατικό μας ήρθε από τη βόρεια Ελλάδα και αποτελεί σίγουρα μια πρόκληση τόσο σε επίπεδο αποφάσεων όσο και σε επίπεδο τεχνικής δυσκολίας του χειρουργείου.
Η ασθενής είχε στην ουσία δύο όγκους: ένα ακουστικό νευρίνωμα (αιθουσαίο σβάννωμα) αριστερά και ένα μηνιγγίωμα σε μια ιδιαίτερα δύσκολα προσβάσιμη περιοχή του εγκεφάλου που λέγεται κορυφή του λιθοειδούς οστού (petrous apex) δεξιά.
Τα συμπτώματα της ασθενούς προέρχονταν προφανώς από το μηνιγγίωμα το οποίο πίεζε το σύστοιχο τρίδυμο νεύρο. Η φαρμακευτική θεραπεία η οποία ως τώρα βοηθούσε την ασθενή, δεν ήταν πλέον αποτελεσματική.
Αποφασίστηκε αρχικά η ακτινοβολία του ακουστικού νευρινώματος μια και αυτή ήταν μια “εύκολη” και σύντομη διαδικασία χωρίς ιδιαίτερη επιβάρυνση για την ασθενή. Αποφασίστηκε η ακτινοχειρουργική υπέρ της παρακολούθησης με βάση τις πιο πρόσφατες μελέτες. Λίγες εβδομάδες μετά διενεργήθηκε και το χειρουργείο.
Το μεγαλύτερο τμήμα του όγκου προσπελάσθηκε μέσω μιας τυπικής οπισθοσιγμοειδικής κρανιοτομίας όμως πρόβλημα αποτελούσε το τμήμα του όγκου το οποίο επεκτείνονταν στην περιοχή του γαγγλίου. Προκειμένω να αφαιρεθεί και αυτό το κομμάτι του όγκου “ανοίξαμε” την κορυφή του λιθοειδούς αφαιρώντας το οστικό έπαρμα ύπερθεν του εσω ακουστικού πόρου, μια απαιτητική και ιδιαιτερη τεχνική. Έτσι καταφέραμε την ολική εξαίρεση της βλάβης και την απαλλαγή της ασθενούς από τα συμπτώματά της.
Ο Καθ. Π. Σταυρινού έχει δημοσιεύσει την τεχνική σε έγκριτα επιστημονικά περιοδικά. Για τη δημοσίευση πατήστε εδώ.










