Ασθενής άνδρας, 48 ετών με συμπτώματα εμέτου και αδυναμίας από 15ημέρου περίπου. Στην αντικειμενική εξέταση διαπιστώθηκε σημαντική πάρεση προσωπικού νεύρου αριστερά και αστάθεια βάδισης & ορθοστάτησης.
H Μαγνητική Τομογραφία εγκεφάλου ανέδειξε εκτεταμενη χωροκατακτητική εξεργασία αριστερής γεφυροπαρεγκεφαλιδικής γωνίας με σημαντική πίεση επί του στελέχους, περισσότερο συμβατή με ακουστικό νευρίνωμα (αιθουσαίο σβάννωμα).
Ο ασθενής υπεβλήθη σε οπισθοσιγμοειδική κρανιοτομία και σχεδόν ολική αφαίρεση της βλάβης. Μια πολύ λεπτή “φλοίδα” όγκου παρέμεινε πάνω στο προσωπικό νεύρο, προκειμένω να εξασφαλιστεί η ανατομική ακεραιότητα του νεύρου και να μην υπάρχει περαιτέρω επιδείνωση.
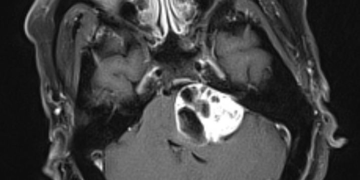
Η μετεγχειρητική μαγνητική τομογραφία εγκεφάλου (βλ. εικόνα) επιβεβαιώνει την πολύ καλή εξαίρεση του όγκου και την πλήρη αποσυμπίεση του εγκεφαλικού στελέχους.
Σχόλιο του χειρουργού:
Τα ακουστικά νευρινώματα ή αλλιώς αιθουσαία σβαννώματα είναι σχετικά σπάνιοι καλοήθεις όγκοι, οι οποίοι μεγαλώνουν στην περιοχή της γεφυροπαρεγκεφαλιδικής γωνίας (με απλά λόγια: πίσω από το αυτί) και προκαλούν διάφορα συμπτώματα, τα πιο συνήθη είναι μείωση της ακοής, βουητά, ίλιγγοι κλπ. Σε μερικές περιπτώσεις μπορεί να φτάσουν σε μεγάλο μέγεθος και να πιέσουν νεύρα της περιοχής ή ακόμα και το εγκεφαλικό στέλεχος.
Ο συγκεκριμένος ασθενής είχε σχεδόν κώφωση αριστερά, αλλά και σημαντική παράλυση του προσωπικού νεύρου το οποίο πιεζόταν από τον όγκο. Παράλληλα πιεζόταν και το στέλεχος, μια κρίσιμη εγκεφαλική δομή από την οποία “περνάνε σχεδόν όλα τα νεύρα”.
Ο στόχος του χειρουργείου λοιπόν ήταν να απελευθερώσουμε το στέλεχος και να βγάλουμε τον όγκο, φροντίζοντας παράλληλα να μην προκαλέσουμε καμία περαιτέρω επιδείνωση της νευρολογικής εικόνας του ασθενούς. Για το λόγο αυτό αφήσαμε και μια πολύ λεπτή “φλοίδα” όγκου πάνω στο προσωπικό νεύρο, το οποίο το αναγνωρίσαμε ανατομικά αλλά και λειτουργικά, με τη βοήθεια ηλεκτροφυσιολογικού ελέγχου.
Μετεγχειρητικά, ο ασθενής πράγματι δεν παρουσίασε σημαντική μεταβολή της νευρολογικής του εικόνας.
Η μετεγχειρητική μαγνητική τομογραφία επιβεβαιώνει την αφαίρεση του όγκου και την αποσυμπίεση του στελέχους.
Περισσότερα για τα ακουστικά νευρινώματα μπορείτε να διαβάσετε εδώ.
Τις κατευθυντήριες οδηγίες της ΕΑΝΟ για την αντιμετώπιση των ακουστικών νευρινωμάτων εδώ.








