Ασθενής γυναίκα, 53 ετών με εμβοές. Σχεδόν φυσιολογική ακοή δεξιά.
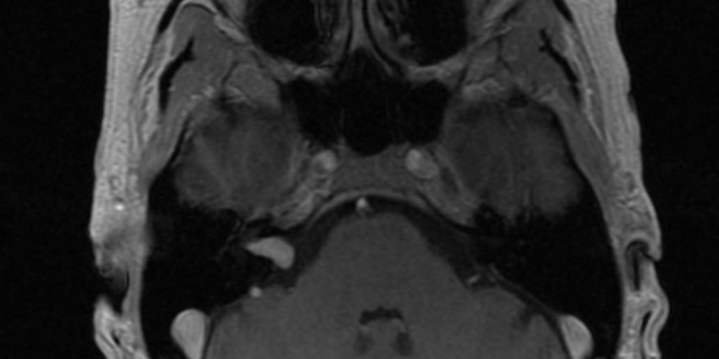
Η μαγνητική τομογραφία εγκεφάλου ανέδειξε μικρή εξεργασία στον δεξιό έσω ακουστικό πόρο, συμβατή με ακουστικό νευρίνωμα (αιθουσαίο σβάννωμα).
Η ασθενής υπεβλήθη σε αριστερή οπισθοσιγμοειδική κρανιοτομία και ολική αφαίρεση της βλάβης.
Εξήλθε την 5η μετεγχειρητική ημέρα χωρίς κανένα νευρολογικό έλλειμα και με διατήρηση της ακοής δεξιά.
Σχόλιο του χειρουργού:
Το συγκεκριμένο ακουστικό νευρίνωμα είναι μικρό. Αλλά εδώ το πρόβλημα είναι η θέση του (ως επί το πλείστον εντός του έσω ακουστικού πόρου) και το γεγονός ότι η ασθενής έχει σχεδόν φυσιολογική ακοή δεξιά, η οποία πρέπει να διατηρηθεί. Ορθώς, η θεραπεία που προτάθηκε στην ασθενή ήταν ακτινοχειρουργική, την οποία όμως η ασθενής δεν επιθυμούσε.
Κατά τη διάρκεια του χειρουργείου καταφέραμε όχι μόνο να αφαιρέσουμε πλήρως τη βλάβη, αλλά το κυριότερο, να διατηρήσουμε την ακεραιότητα και λειτουργικότητα του κοχλιακού νεύρου (φυσιολογική ακοή).








