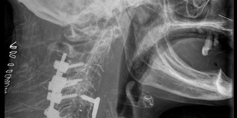
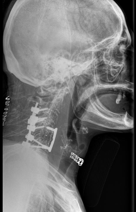
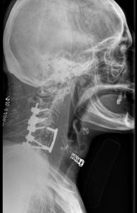
Πρόσθια – Οπίσθια (360ο) Σπονδυλοδεσία Αυχενικής Μοίρας Σπονδυλικής Στήλης

You are here:
Go to Top