Ασθενής γυναίκα, 41 ετών με εξόφθαλμο δεξιά.
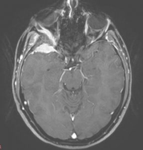
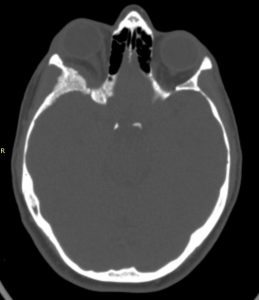
H Μαγνητική & Αξονική Τομογραφία εγκεφάλου ανέδειξε χωροκατακτητική εξεργασία στην περιοχή της πτέρυγας του σφηνοειδούς οστού, δηλ. του άνω (οροφή) και του πλαγίου τοιχώματος του οφθαλμικού κόγχου. Η εξεργασία επεκτείνονταν κατά μήκος της σκληράς μήνιγγας ενώ στην περιοχή του κροταφικού πόλου παρουσίασε ενδοκρανιακή επέκταση. Η πάχυνση του οστού του κόγχου προκαλούσε πίεση των περιεχομένων του κόγχου με αποτέλεσμα εξόφθαλμο.
Η ασθενής υπεβλήθη σε δεξιά πτεριονική κρανιοτομία, αποσυμπίεση του κόγχου – αφαίρεση του μαλακού τμήματος του όγκου και ανακατασκευή του κόγχου με μόσχευμα πολυαιθυλενίου (Porex)
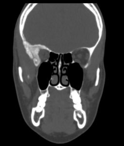
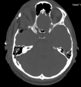
Η μετεγχειρητική αξονική τομογραφία εγκεφάλου ανέδειξε τη γενναιόδωρη αποσυμπίεση του κόγχου.
Μετεγχειρητικά η ασθενής παρουσίαζε άριστη νευρολογική εικόνα, χωρίς καμία επιδείνωση της όρασης.










