Ασθενής 20 ετών με εξεργασία στο σώμα του Α2 σπονδύλου (2ος σπόνδυλος της αυχενικής μοίρας της σπονδυλικής στήλης) με αποτελέσμα εξάρθρημα Α1-Α2 σπονδύλου και ατλαντοαξονική αστάθεια.
Αποφασίστηκε η διενέργεια ινιοαυχενικής σπονδυλοδεσίας, δηλαδή η στήριξη της κεφαλής στην αυχενική μοίρα του ασθενούς.
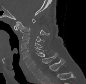
Η μετεγχειρητική πορεία της ασθενούς ήταν ανεπίπλεκτη και ο ασθενής εξήλθε την 3η μετεγχειρητική ημέρα. Η μετεγχειρητική αξονική τομογραφία και ακτινογραφία έδειξε ορθή θέση των μοσχευμάτων και πολύ ικανοποιητική θέση κεφαλής σε σχέση με την ΑΜΣΣ (βλ. εικόνες παρακάτω)
Σχόλιο του χειρουργού:
Πρόκειται για ένα απαιτητικό περιστατικό γιατί πρέπει να επιτευχθούν πολλαπλοί στόχοι:
Τα υλικά πρέπει να τοποθετηθούν με απόλυτη ακρίβεια προκειμένω η αυχενική μοίρα του ασθενούς να στηρίξει επαρκώς και σε βάθος χρόνου την κεφαλή. Τοποθετήθηκαν διαυχενικές βίδες (δηλαδή βίδες οι οποίες “πιάνουν” στον αυχένα του σπονδύλου). Η τοποθέτηση των βιδών σε αυτή τη θέση είναι τεχνικά απαιτητική, έχει όμως το πλεονέκτημα ότι προσφέρει τη μέγιστη στήριξη γιατί “πιάνει” σε φλοιώδες οστό (δηλαδή σκληρό οστό) και το μήκος των βιδών μπορεί να είναι πολύ μεγαλύτερο σε σχέση με τις βίδες οι οποίες τοποθετούνται στα πλάγια ογκώματα των αυχενικών σπονδύλων. Συγκεκριμένα, χρησιμοποιήθηκαν βίδες 18-20 χιλ. (έναντι 12 έως 14 χιλ). Αυτό επετεύχθη με τη βοήθεια διεγχειρητικής νευροπλοήγησης (O-arm). Με τον τρόπο αυτό αποφύγαμε μεγαλύτερο μήκος σπονδυλοδεσίας, το οποίο θα ακινητοποιούσε ακόμη περισσότερο τον αυχένα του ασθενούς.
Το τελικό αποτέλεσμα είναι τόσο απεικονιστικά όσο και κλινικά είναι λίαν ικανοποιητικό.











