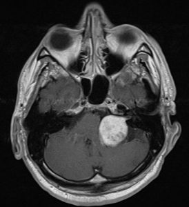
Ασθενής άνδρας, 52 ετών με κώφωση αριστερά και ιλιγγική συνδρομή.
Η μαγνητική τομογραφία εγκεφάλου ανέδειξε χωροκατακτητική εξεργασία στην αριστερή γεφυροπαρεγκεφαλιδική γωνία συμβατή με ακουστικό νευρίνωμα (αιθουσαίο σβάννωμα) και πίεση επί του στελέχους (Koos IV).
Ο ασθενής υπεβλήθη σε αριστερή οπισθοσιγμοειδική κρανιοτομία και ολική αφαίρεση της βλάβης.
Σχόλιο του χειρουργού:
Τα ακουστικά νευρινώματα είναι χειρουργικά απαιτητικοί όγκοι, λόγω της εγγύτητάς τους με πολλά εγκεφαλικά νεύρα και κυρίως με το προσωπικό νεύρο. Στο συγκεκριμένο περιστατικό υπήρχε πίεση επί του στελέχους και ο όγκος –αν και καλοήθης- ήταν αρκετά μεγάλος, οπότε η ένδειξη για χειρουργείο ήταν σαφής.
Κατά τη διάρκεια του χειρουργείου το προσωπικό νεύρο ήταν ιδιαίτερα συμπιεσμένο και λεπτυσμένο. Οι χειρισμοί προκειμένω να αφαιρεθεί (να ξεκολλήσει ουσιαστικά) ο όγκος από το προσωπικό νεύρο θέτουν τη λειτουργικότητα του νεύρου σε κίνδυνο, γι’ αυτό είναι πολύ σημαντικός ο σωστός νευροφυσιολογικός έλεγχος κατά τη διάρκεια του χειρουργείου, που θα δώσει στον νευροχειρουργό πληροφορίες σ’ ότι αφορά στην λειτουργικότητα του νεύρου.
Ο συγκεκριμένος ασθενής παρουσίασε μετεγχειρητικά πάρεση του προσωπικού νεύρου αριστερά (House Brackmann IV) η οποία είχε όμως αποκατασταθεί σε μεγάλο βαθμό μετά από 12 μήνες (House Brackmann ΙΙ).









