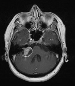
Ασθενής γυναίκα 68 ετών με προοδευτική επιδείνωση της ακοής δεξιά και επεισόδια ιλίγγων και διαταραχής της ισορροπίας και βάδισης.
Η μαγνητική τομογραφία εγκεφάλου ανέδειξε χωροκατακτητική εξεργασία στη δεξιά γεφυροπαρεγκεφαλιδική γωνία συμβατή με ακουστικό νευρίνωμα (αιθουσαίο σβάννωμα) και πίεση επί του στελέχους (Koos IV).
Η ασθενής υπεβλήθη σε δεξιά οπισθοσιγμοειδική κρανιοτομία και ολική αφαίρεση της βλάβης.
Σχόλιο του χειρουργού:
Τα ακουστικά νευρινώματα είναι χειρουργικά απαιτητικοί όγκοι, λόγω της εγγύτητάς τους με πολλά εγκεφαλικά νεύρα και κυρίως με το προσωπικό νεύρο. Στο συγκεκριμένο περιστατικό υπήρχε πίεση επί του στελέχους και ο όγκος –αν και καλοήθης- ήταν αρκετά μεγάλος, οπότε η ένδειξη για χειρουργείο ήταν σαφής.
Η ασθενής παρουσίασε μετεγχειρητικά ήπια πάρεση του προσωπικού νεύρου δεξια (House Brackmann IΙΙ) η οποία είχε ήδη βελτιωθεί εντός ολίγων ημερών σε House Brackmann ΙΙ.
Στη χειρουργική των ακουστικών νευρινωμάτων είναι απαραίτητος ο προσεκτικός νευροφυσιολογικός έλεγχος ο οποίος θα βοηθήσει τον νευροχειρουργό να αναγνωρίσει αλλά και να προστατέψει το προσωπικό νεύρο.








