Ασθενής άνδρας, 66 ετών με ιστορικό χειρουργηθείσας εξεργασίας (δερμοειδές) το 1991. Στους μετεγχειρητικούς ελέγχους αναδείχθηκε υποτροπή και προοδευτική άυξηση της χωροκατακτητικής εξεργασίας αριστερά κροταφικά.
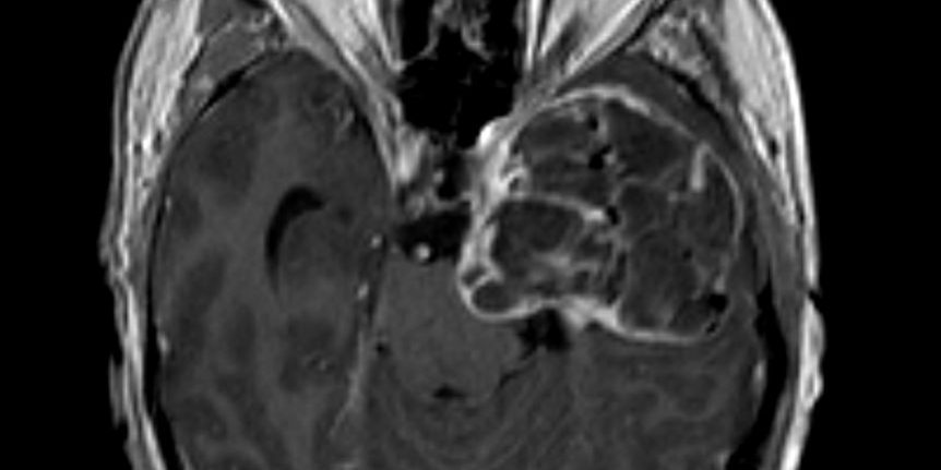
Η μαγνητική τομογραφία εγκεφάλου ανέδειξε εκτεταμένη χωροκατακτητική εξεργασία του μέσου κρανιακού βόθρου, πιθανότατα υποτροπή του δερμοειδούς όγκου για τον οποίο είχε χειρουργηθεί ο ασθενής το 1991.
Διενεργήθη διάνοιξη της προηγηθείσας πτεριονικής κρανιοτομίας και αφαίρεση της βλάβης.
Ο ασθενής παρουσίασε μετεγχειρητικά υπαισθησία στην κατανομή V2 και V3 του τριδύμου νεύρου αριστερά η οποία βελτιωνόταν συνεχώς.
Σχόλιο του χειρουργού:
Πρόκειται για μια εκτεταμένη βλάβη η οποία πρέπει να αφαιρεθεί όσο πιο ριζικά γίνεται προκειμένω να μήν ξαναυποτροπιάσει. Το γεγονός ότι ο ασθενής είχε ξαναχειρουργηθεί στην περιοχή δημιουργεί δυσχερείς συνθήκες, παρόλα αυτά καταφέραμε και εξαιρέσαμε τον όγκο πλήρως. Η μετεγχειρητική υπαισθησία που παρουσίασε ο ασθενής οφείλεται σε ερεθισμό του τριδύμου νεύρου στην περιοχή πλησίον του σηραγγώδους κόλπου, όμως τέτοιοι χειρισμοί είναι απαραίτητοι για την πλήρη αφαίρεση του δερμοειδούς. Η βελτίωση της υπαισθησίας ήδη κατά τη διάρκεια της νοσηλείας είναι ένδειξη προσωρινού μόνο ερεθισμού του νεύρου.











