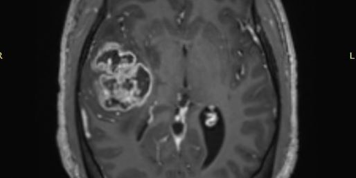
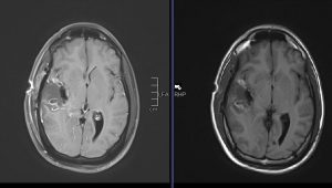
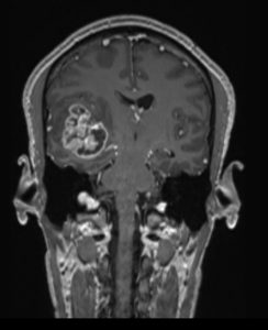
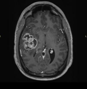
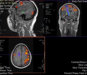
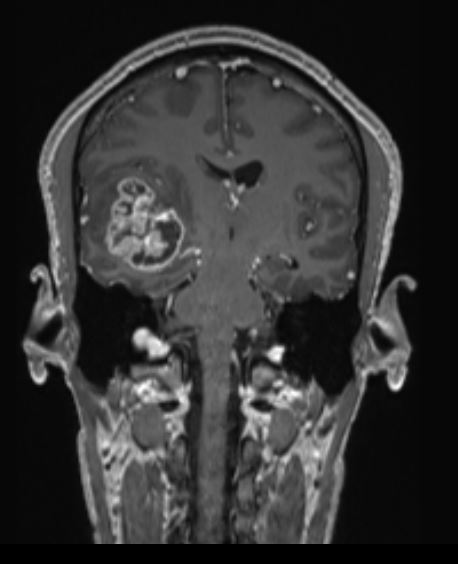
Χωροκατακτητική Εξεργασία δεξιού Κροταφικού Λοβού

You are here:
Go to Top