Ασθενής γυναίκα, 62 ετών η οποία παρουσίασε διαταραχές του χαρακτήρα της, επεισόδια αποπροσανατολισμού καθώς επίσης και επεισόδια δυσαρθρίας.
Ο απεικονιστικός έλεγχος με μαγνητική τομογραφία ανέδειξε ευμεγέθη όγκο της πτέρυγας του σφηνοειδούς αριστερά, συμβατό με μηνιγγίωμα.
Διενεργήθη αριστερή πτεριονική κρανιοτομία και πλήρης αφαίρεση της βλάβης.
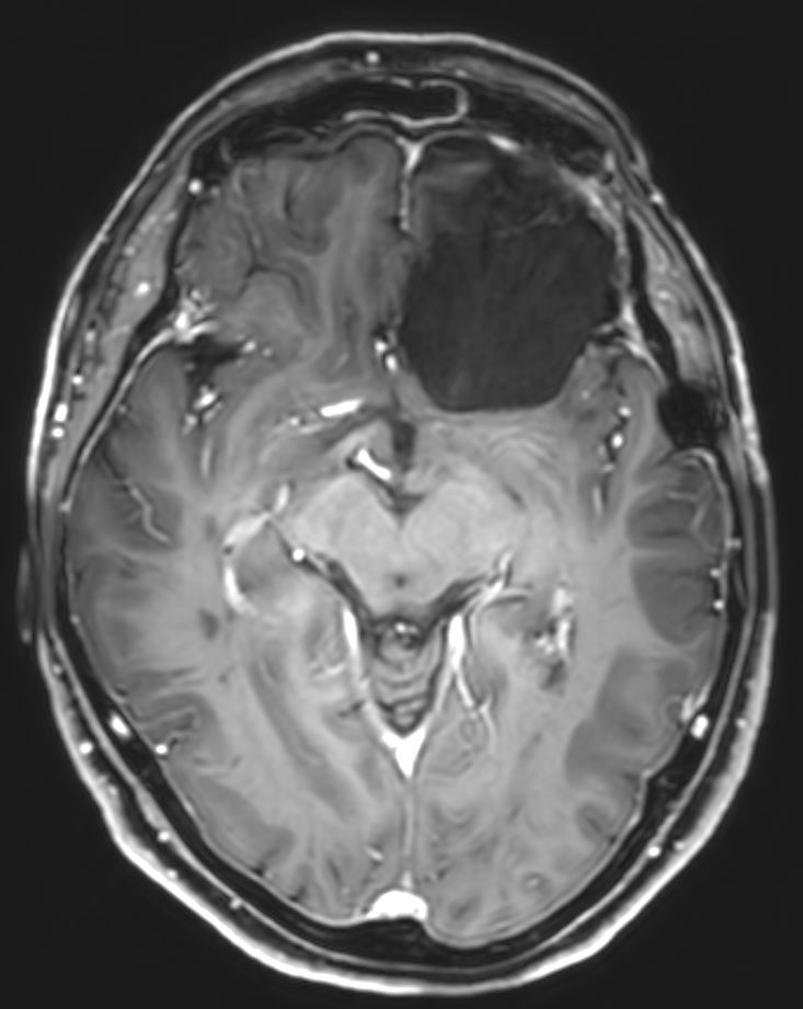
Η μετεγχειρητική μαγνητική τομογραφία εγκεφάλου δείχνει ολική εξαίρεση. Η ιστολογική εξέταση ανέδειξε μηνιγγίωμα (WHO I).
Μετεγχειρητικά η ασθενής ήταν σε άριστη νευρολογική κατάσταση και εξήλθε την 7η μετεγχειρητική ημέρα.
Σχόλιο του χειρουργού:
Πρόκειται για ένα ιδιαίτερα μεγάλο μηνιγγίωμα, στην επικρατούσα πλευρά (αριστερά), το οποίο πίεζε δομές όπως τα οπτικά νεύρα και είχε «ενσωματώσει» σημαντικά αγγεία του εγκεφάλου (αριστερή καρωτίδα και κλάδους της). Όγκοι σαν και αυτόν χρειάζονται υπομονή και καλή μικροχειρουργική τεχνική προκειμένω να παρασκευαστούν και να προφυλαχθούν όλα τα κρίσιμα αγγεία. Η υποχώρηση των συμπτωμάτων ήταν άμεση.










