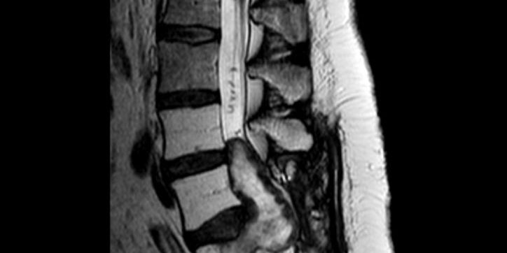
Ασθενής 55 ετών με γνωστή εκτεταμένη εξεργασία (όγκος) του ιερού οστού. Είχε προηγηθεί προσπάθεια αφαίρεσης της βλάβης. Κλινικά η ασθενής παρουσίαζε προοδευτική επιδείνωση της κλινικής της εικόνας με ισχιαλγία, οσφυαλγία και διαταραχές στον έλεγχο της κύστης και του εντέρου. Από τον απεικονιστικό έλεγχο διαπιστώθηκε ευμεγέθης εξεργασία ιερού με σημαντική πίεση στα νεύρα της ιππουρίδας καθώς επίσης και σημαντική οστεόλυση του Ο5 σπονδύλου και του ιερού οστού.
Αποφασίστηκε η διενέργεια αρχικά σπονδυλόδεσίας της κατώτερης οσφυικής μοίρας με το ιερό οστό και τα λαγόνια. Στη συνέχεια ακολούθησε ολική εξαίρεση του όγκου (σβάννωμα)
Μετεγχειρητικά η ασθενής παρουσίαζε -όπως αναμένονταν- σχετική επιδείνωση της ορθοκυστικής της λειτουργίας, η οποία αναμένεται να βελτιωθεί προοδευτικά. Παρουσίαζε επίσης δεξιά ισχιαλγία η οποία είχε ήδη βελτιωθεί την άμεση μετεγχειρητική περίοδο.

Σχόλιο του χειρουργού:
Πρόκειται για ένα εξαιρετικά απαιτητικό περιστατικό για δύο σημαντικούς λόγους:
Πρώτον, υπάρχει σημαντικό πρόβλημα στήριξης της οσφυϊκής μοίρας και επαπειλούμενο κάταγμα ιερού. Λόγω της διήθησης του οστού από τον όγκο, έχει δημιουργηθεί σημαντικό οστικό έλλειμα στον τελευταίο οσφυϊκό σπόνδυλο και στο ιερό οστό.
Δεύτερον, πέραν του ότι πρόκειται για έναν εκτεταμένο όγκο, η ασθενής έχει υποβληθεί ήδη σε μια προσπάθεια αφαίρεσης, με αποτέλεσμα να υπάρχει πολύς ουλώδης ιστός ενώ από την άλλη, έχει διαταραχθεί η φυσιολογική ανατομία που βοηθά στον προσανατολισμό. Επιπλέον, η ασθενής είχε ήδη ακτινοβοληθεί στον όγκο της, γεγονός που έκανε την παρασκευή των ανατομικών στοιχείων και την αποκατάσταση του τραύματος ακόμη πιο δύσκολη.
Ξεκινήσαμε το χειρουργείο με σπονδυλοδεσία Ο4-Ο5-Ιερολαγόνια. Αφού εξασφαλίσαμε τη στήριξη της σπονδυλικής στήλης, προχωρήσαμε σε ολική εξαίρεση της βλάβης. Η συνολική διάρκεια του χειρουργείου ήταν 11 ώρες.












