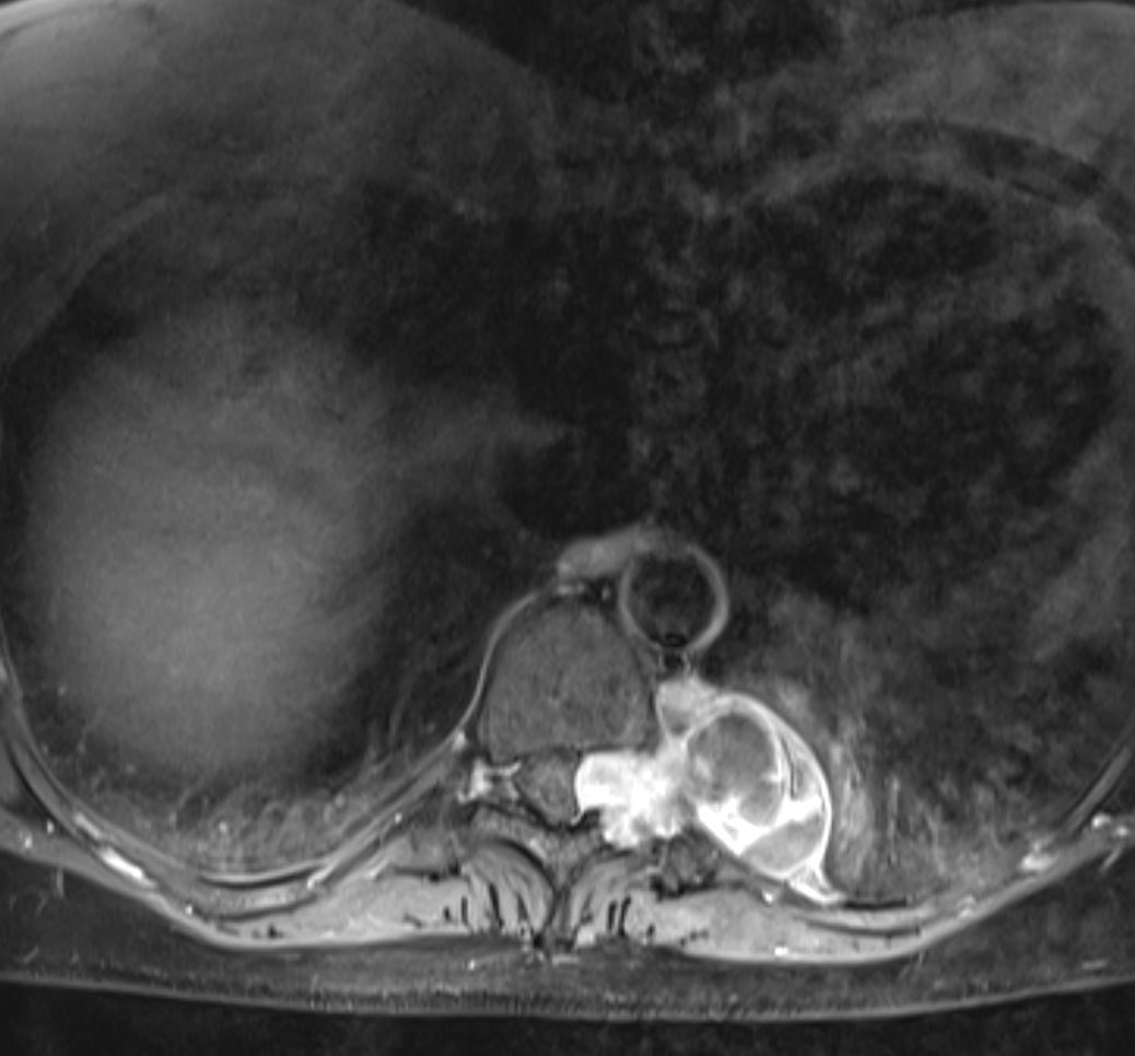
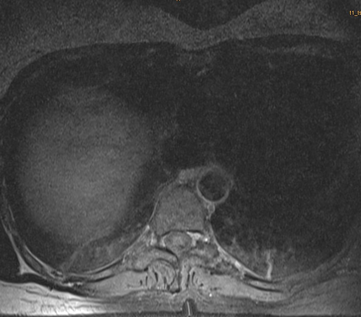
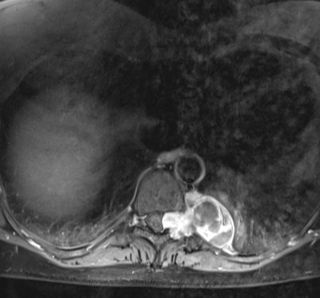
Θωρακικό Σβάννωμα Θ9/Θ10

You are here:
Go to Top