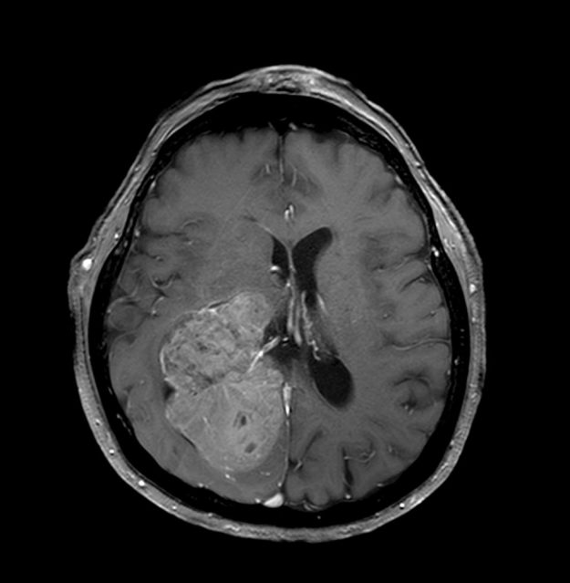
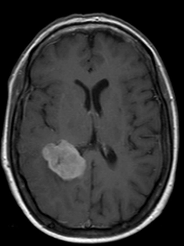
Μηνιγγίωμα περιοχής Επίφυσης
Ασθενής γυναίκα, 52 ετών η οποία παρουσίασε υπακουσία και επεισόδια πάρεσης του προσώπου. Ο απεικονιστικός έλεγχος με μαγνητική τομογραφία ανέδειξε ευμεγέθη όγκο στην περιοχή της επίφυσης (κωνάριο) με πίεση επί του μεσολοβίου, του τετραδύμου πετάλου και λοιπών εν’ τω βάθει δομών. Διενεργήθη δεξιά ινιακή, διασκηνιδιακή, διαδρεπανική προσπέλαση και ολική αφαίρεση της βλάβης. Η μετεγχειρητική αξονική…










